Особенности
Амебиаз у взрослых и детей передается фекально-оральным путем. Чаще всего случаи заражения наблюдаются в теплых климатических зонах и в условиях антисанитарии.
Наибольшее количество случаев инвазии зарегистрировано в Мексике и Индии. В развитых странах инфекция, как правило, появляется в результате завоза патогена туристами или мигрантами из неблагополучных регионов.
Кишечная амеба, ответственная за развитие заболевания, может попасть в организм различными путями.
- Основным источником заражения является инфицированный человек;
- Инвазия может произойти через употребление воды или овощей, содержащих цисты кишечной амебы;
- Цисты также могут переноситься насекомыми, такими как тараканы и мухи.
Циста обладает способностью длительное время сохранять жизнеспособность в подходящих условиях. В жаркой и влажной среде риск заражения может оставаться актуальным от двух недель до месяца.
Заболевание вызывается амебой карликовой, которая существует в трех формах: тканевой (у больных), просветной и цистной (у носителей). При этом риск заражения сохраняется как в активной, так и в покоящейся стадии.
Врачи отмечают, что амебиаз является серьезным инфекционным заболеванием, вызванным простейшими микроорганизмами рода Entamoeba. Основные симптомы включают диарею, боли в животе и, в тяжелых случаях, лихорадку. Важно, что проявления могут варьироваться от легкой формы до тяжелых осложнений, таких как амебная дизентерия. Для диагностики заболевания врачи рекомендуют проводить анализы кала на наличие цист и трофозоитов амеб. Лечение обычно включает применение антипротозойных препаратов, таких как метронидазол или тинидазол. Специалисты подчеркивают важность раннего обращения за медицинской помощью, так как своевременная диагностика и лечение существенно снижают риск осложнений и способствуют быстрому выздоровлению пациента.

Стадии развития
Амебиаз у людей, как детей, так и взрослых, проявляется в двух основных формах: кишечной и внекишечной. В зависимости от этого различают стадии заболевания.
-
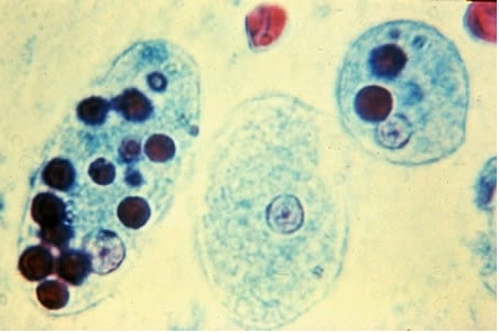
При кишечной форме амебиаза процесс развивается нисходящим образом. Он начинается в слепой кишке, затем затрагивает сигмовидную и прямую кишки. В типичном случае наблюдаются отек и покраснение слизистой оболочки, а также образование пузырьков с цистами. В процессе некроза эти пузырьки могут лопаться, объединяться и образовывать язвы на слизистой. Иногда их диаметр превышает 2 см. Дно язв покрыто гнойным содержимым, а при проведении биопсии в них обнаруживаются амебы с поглощенными эритроцитами. В результате этого может произойти перфорация, что ведет к кровотечению;
-
Внекишечный амебиаз, в свою очередь, затрагивает печень. Амебы проникают туда через воротную вену. Начинается поражение печени, которое может проявляться в виде белкового и жирового дистрофического изменения. В некоторых случаях также может развиваться абсцесс печени. Внекишечный амебиаз считается менее благоприятной формой заболевания, так как инвазия может метастазировать из печени в другие органы, такие как кожа или мозг. При кишечной форме подобные метастазы, как правило, не наблюдаются.
Если адекватное лечение абсцесса и инвазивного поражения органа не проводится, абсцесс может прорваться в брюшную полость, что приведет к заражению крови и тканей. Прогноз заболевания в таких случаях зависит от скорости и качества оказания медицинской помощи.
| Аспект | Описание | Важные замечания |
|---|---|---|
| Что такое амебиаз? | Инфекционное заболевание, вызываемое простейшими Entamoeba histolytica, поражающее преимущественно толстый кишечник. | Может протекать бессимптомно или вызывать тяжелые формы с внекишечными проявлениями. |
| Пути заражения | Фекально-оральный: через загрязненную воду, пищу, немытые руки, контакт с инфицированными людьми. | Особенно распространен в регионах с плохой санитарией. |
| Симптомы кишечного амебиаза | Легкая форма: боли в животе, диарея (часто с примесью слизи и крови), метеоризм, тошнота. Тяжелая форма (амебная дизентерия): частый жидкий стул с большим количеством крови и слизи, сильные схваткообразные боли в животе, лихорадка, обезвоживание. |
Симптомы могут развиваться постепенно, от нескольких дней до нескольких недель после заражения. |
| Симптомы внекишечного амебиаза | Амебный абсцесс печени: боли в правом подреберье, лихорадка, озноб, увеличение печени. Амебиаз легких, мозга, кожи: редкие, но тяжелые формы с соответствующими симптомами. |
Внекишечные формы развиваются при распространении амеб с током крови. |
| Диагностика | Микроскопическое исследование кала: обнаружение вегетативных форм или цист Entamoeba histolytica. Серологические тесты: выявление антител к Entamoeba histolytica (при внекишечных формах). Инструментальные методы: УЗИ, КТ, МРТ (для выявления абсцессов). |
Важно отличать Entamoeba histolytica от непатогенных амеб (например, Entamoeba dispar). |
| Лечение | Противоамебные препараты: Метронидазол, Тинидазол (для уничтожения вегетативных форм). Люминальные амебициды: Паромомицин, Дилоксанид фуроат (для уничтожения цист в просвете кишечника). Поддерживающая терапия: регидратация, обезболивающие. |
Выбор препарата и длительность лечения зависят от формы заболевания и тяжести. |
| Профилактика | Соблюдение правил личной гигиены (мытье рук). Употребление кипяченой или бутилированной воды. Тщательное мытье фруктов и овощей. Избегание употребления сырой или плохо приготовленной пищи в эндемичных районах. |
Профилактика особенно важна при путешествиях в страны с высоким уровнем заболеваемости. |
Хроническая форма
Можно отдельно рассмотреть хронический кишечный амебиаз. Не все пациенты осведомлены о том, что представляет собой амебиаз в этой форме. Он развивается, когда в кишечнике образуются полипы и амебомы. Амебомы – это специфические гранулемы, содержащие эозинофильные лейкоциты.
Хронический амебиаз возникает только в одном случае – когда он переходит из острого состояния при недостаточном лечении. Например, если терапия была прервана слишком рано, несмотря на исчезновение симптомов.
В таком случае амебиаз продолжает развиваться, но в скрытой, хронической форме. Эта стадия ремиссии может длиться несколько месяцев. Хроническая форма заболевания может сохраняться на протяжении нескольких лет. Для нее характерны следующие признаки:
- Неприятный привкус и горечь во рту;
- Снижение аппетита или его полное отсутствие;
- Истощение или значительная потеря веса;
- Повышенная утомляемость: слабость, сонливость, хроническая усталость;
- Недостаток железа, снижение уровня гемоглобина, анемия;
- Увеличение печени;
- Бледность кожи;
- Легкие боли в области желудка и живота (иногда могут отсутствовать);
- Нарушения сердечного ритма: учащенное сердцебиение, повышенный пульс.
Поскольку многие из этих симптомов являются неспецифичными, не всегда удается сразу определить, что это амебиаз, как пациенту, так и врачу. Тем не менее, своевременная диагностика и начало лечения могут значительно ускорить процесс выздоровления.
Амебиаз — это инфекционное заболевание, вызываемое простейшими организмами рода Entamoeba. Люди, столкнувшиеся с этой проблемой, часто описывают симптомы как весьма неприятные. Основные проявления включают диарею, боли в животе и общую слабость. В некоторых случаях может возникнуть высокая температура и даже кровянистый стул.
Диагностика амебиаза обычно включает анализы кала, которые помогают выявить наличие паразитов. Важно отметить, что раннее обращение к врачу и правильная диагностика играют ключевую роль в успешном лечении. Лечение, как правило, включает применение антипротозойных препаратов, таких как метронидазол или тинидазол. Многие пациенты отмечают, что после курса лечения их состояние значительно улучшается, однако важно следовать рекомендациям врача и завершить полный курс терапии, чтобы избежать рецидивов.

Симптомы
Долгое время карликовая амеба проявляет себя неявно. Поэтому, хотя первые признаки заболевания могут появиться уже через 7-10 дней после заражения, выявление возбудителя в кале и начало терапии часто происходят значительно позже. Многие люди не осведомлены о том, что такое амебиаз кишечника и как он проявляется. Основные симптомы включают:
- Боли в нижней части живота;
- Общую слабость;
- Небольшое повышение температуры.
Это начальная стадия болезни, когда лечение достаточно простое. Однако пациенты редко обращаются за медицинской помощью на этом этапе. В некоторых случаях заболевание может развиваться стремительно. При таком течении наблюдается диарея с примесями крови и слизи. У 30% инфицированных также фиксируется значительное повышение температуры.
Со временем может произойти увеличение печени. Если лечение не будет начато, возможно развитие амебного абсцесса печени. Воспалительные реакции при этом заболевании, как правило, выражены слабо. Анализ крови показывает лишь небольшое увеличение уровня лейкоцитов.
С прогрессированием болезни и размножением карликовой амебы в кишечнике может возникнуть обезвоживание, вызванное длительной диареей. Однако такое осложнение встречается редко и, как правило, возникает только в случае игнорирования ранних симптомов и отсутствия лечения. Заболевание протекает одинаково как у женщин, так и у мужчин. У детей развитие амебиаза может происходить несколько быстрее, чем у взрослых.
Диагностика
Понимание амебиаза кишечника позволяет предположить, каким образом осуществляется его диагностика. Главным признаком для диагностики служит выявление в кале возбудителя болезни в тканевой форме. Если же в образце будут найдены цисты или просветные формы, это указывает на носительство, однако не является достаточным основанием для окончательного диагноза.
В некоторых ситуациях может произойти ошибка в диагностике, так как инвазию можно спутать с безвредной амебой, которая схожа по строению и внешнему виду. Какой же вид амебы может быть ошибочно принят за опасного возбудителя?
Наиболее часто это Entamoeba dispar. Этот вид встречается почти в десять раз чаще, не вызывает заболевания и не требует медицинского вмешательства. Для уточнения диагноза при необходимости могут использоваться серологические исследования. В редких случаях может потребоваться проведение колоноскопии.
Ситуация с внекишечным амебиазом более сложная. Здесь могут применяться серологические тесты, ультразвуковое исследование, радионуклидные тесты, рентгенография, а также компьютерная томография (КТ) и магнитно-резонансная томография (МРТ).

Лечение
Не все пациенты осведомлены о таком заболевании, как амебиаз кишечника, и о правильных методах его лечения. Подход к терапии зависит от стадии заболевания. Лечение носителей отличается от терапии тех, кто уже заболел. В первом случае в основном применяются Йодохинол и Паромомицин. Эти же препараты используются для лечения хронического амебиаза. При остром течении болезни назначают Метронидазол и Тинидазол.
Дегидроэметин используется значительно реже. Это один из первых медикаментов, который начали применять для лечения амебиаза при обнаружении амеб в кале. На сегодняшний день он считается достаточно токсичным по сравнению с другими средствами, но остается эффективным и назначается в тяжелых случаях, когда нет возможности использовать альтернативные препараты.
Если инвазия устойчива к традиционному лечению, рекомендуется рассмотреть альтернативные методы, включающие препараты тетрациклинового ряда. В некоторых случаях терапия может быть дополнена эметином.
Лечение внекишечных форм амебиаза представляет собой более сложную задачу. При абсцессах печени или легких назначаются ятрен, мексаформ и аналогичные препараты. В редких случаях может потребоваться хирургическое вмешательство. Несмотря на сложности в лечении, прогноз обычно оказывается благоприятным.
Хронический амебиаз не требует госпитализации. Однако пациенты с острым течением заболевания всегда помещаются в стационар и изолируются до полного выздоровления, чтобы предотвратить распространение инфекции. Носители амеб не могут работать в сфере общественного питания. При выявлении заболевания в очаге инфекции проводится дезинфекция, аналогичная той, что применяется при других желудочно-кишечных инфекциях.
После выздоровления у женщин, мужчин и детей необходимо регулярно, раз в квартал, проходить обследования. Дополнительные проверки могут назначаться при возникновении проблем с кишечником. В общем, диспансерное наблюдение за пациентами продолжается около одного года.
Вопрос-ответ
Как диагностировать амебиаз?
Болезнь подтверждается выделением из кала цист или самих вегетативных форм простейших. Больным проводится колоноскопия или ректосигмоскопия. Эндоскопическое исследование позволяет увидеть множественные язвенные поражения внутренней части стенки толстой кишки.
Какой анализ позволяет выявить амебиаз?
Выявление антител класса IgG к возбудителю инфекционного заболевания амебиаз — дизентерийной амебе (Entamoeba histolytica). Анализ позволяет диагностировать амебиаз, в некоторых случаях выявить бессимптомное носительство возбудителя. Проводится методом иммуноферментного анализа.
Какой препарат эффективен при амебиазе?
В терапии кишечного амебиаза и абсцессов различной локализации эффективны системные тканевые амебоциды: метронидазол, тинидазол, орнидазол.
Советы
СОВЕТ №1
Перед посещением врача, постарайтесь подробно зафиксировать все симптомы, которые вы испытываете. Это поможет врачу быстрее поставить диагноз и назначить правильное лечение.
СОВЕТ №2
Обратите внимание на свою диету и уровень гигиены. Избегайте употребления неочищенной воды и сырых продуктов, особенно в регионах с высоким риском амебиаза.
СОВЕТ №3
Если вы подозреваете, что могли заразиться амебами, не откладывайте визит к врачу. Ранняя диагностика и лечение могут предотвратить серьезные осложнения.
СОВЕТ №4
После завершения лечения обязательно пройдите контрольные анализы, чтобы убедиться, что инфекция полностью устранена и нет риска рецидива.



