Особенности гельминта
Эхинококк представляет собой ленточного червя, который может обитать в внутренних органах человека в форме личинки. Эта болезнь опасна тем, что однокамерный эхинококк может затрагивать жизненно важные органы, такие как мозг, легкие, сердце и печень, вызывая образование кист. Лечение эхинококкоза требует хирургического вмешательства, так как консервативные методы оказываются действенными лишь на ранних стадиях заболевания.
Врачи отмечают, что эхинококкоз является паразитарным заболеванием, вызываемым личинками эхинококка, чаще всего встречающегося в регионах с высоким уровнем сельского хозяйства и животноводства. Паразит проникает в организм человека через загрязненные продукты или воду, что делает профилактику особенно важной. Симптомы могут варьироваться от бессимптомного течения до серьезных осложнений, таких как образование кист в печени или легких. Врачи подчеркивают, что ранняя диагностика и лечение имеют решающее значение для успешного исхода. Важно проводить регулярные обследования и соблюдать меры предосторожности, особенно в эндемичных районах. Эхинококкоз требует комплексного подхода к лечению, включая медикаментозную терапию и, в некоторых случаях, хирургическое вмешательство.

Причины
Никто не застрахован от заражения паразитами, и это касается каждого человека. Чтобы минимизировать риски, важно понимать, что такое эхинококк и каким образом он проникает в человеческий организм.
Человек выступает лишь промежуточным хозяином для эхинококка, в то время как окончательными хозяевами являются животные, за исключением травоядных. В организм человека яйца гельминтов попадают и развиваются до стадии личинок, после чего покидают тело. Однако в процессе их существования в организме человека наносится значительный вред здоровью.
Способы заражения эхинококком схожи с другими видами гельминтозов.
- Эхинококк, как и многие другие гельминты, попадает в почву в виде яиц, что приводит к заражению растительных продуктов.
- Заражение также может произойти при непосредственном контакте с инфицированным животным.
- Еще один способ передачи яиц паразитов – это употребление мяса, пораженного гельминтами, или даже просто контакт с тушей при ее разделке.
Профилактика эхинококкоза играет важную роль в предотвращении передачи паразитов. Наилучший способ защитить себя от этого заболевания – это строгое соблюдение гигиенических норм и проверка мяса животных на наличие гельминтов.
| Аспект | Описание | Важность |
|---|---|---|
| Определение | Паразитарное заболевание, вызываемое личинками ленточных червей рода Echinococcus. | Понимание природы заболевания. |
| Возбудитель | Ленточные черви Echinococcus granulosus (однокамерный) и Echinococcus multilocularis (многокамерный). | Идентификация конкретного типа эхинококкоза. |
| Жизненный цикл | Включает окончательных хозяев (собаки, лисы) и промежуточных (овцы, крупный рогатый скот, человек). | Понимание путей заражения и профилактики. |
| Пути заражения | Употребление загрязненной пищи/воды, контакт с зараженными животными, несоблюдение гигиены. | Определение факторов риска и мер предосторожности. |
| Локализация кист | Чаще всего печень и легкие, реже другие органы (мозг, почки, кости). | Влияет на симптоматику и методы диагностики. |
| Симптомы | Могут отсутствовать годами. Зависят от размера и локализации кист (боль, дискомфорт, кашель, желтуха). | Ранняя диагностика затруднена, важно при появлении симптомов. |
| Диагностика | УЗИ, КТ, МРТ, серологические тесты (ИФА). | Подтверждение диагноза и оценка степени поражения. |
| Лечение | Хирургическое удаление кист, медикаментозная терапия (альбендазол). | Эффективное устранение паразита и предотвращение рецидивов. |
| Профилактика | Гигиена рук, мытье овощей/фруктов, дегельминтизация домашних животных, контроль за убоем скота. | Снижение риска заражения и распространения заболевания. |
| Осложнения | Разрыв кисты, нагноение, анафилактический шок, метастазирование (при многокамерном). | Потенциально опасные для жизни состояния. |
Симптомы
Признаки наличия эхинококка у человека могут не проявляться на протяжении длительного времени. В большинстве случаев заболевание развивается по определенной схеме, однако различия в симптомах заключаются в продолжительности различных этапов его развития.
Выделяют три стадии патогенеза:
- Бессимптомная;
- Клиническая;
- Осложнения.
На первой стадии, когда однокамерный эхинококк осваивается в органах и начинает в них существовать, никаких признаков эхинококкоза не наблюдается. Этот период может длиться от нескольких месяцев до нескольких лет.
На второй стадии эхинококк начинает проявлять клинические симптомы:
- боль в области, где находятся гельминты (кисты);
- общая слабость;
- зуд кожи;
- сыпь (крапивница).
Симптомы эхинококкоза на клинической стадии сопровождаются признаками, характерными для пораженного органа. В зависимости от того, какой орган пострадал — печень, сердце или другой — у пациента могут проявляться различные признаки заболевания.
На третьей стадии, когда возникают осложнения, эхинококк вызывает симптомы, связанные с развитием патологий пораженного органа. Это может быть связано с разрывом кистозной капсулы, что приводит к плевриту или перитониту.
При наличии гнойного процесса в кисте симптомы эхинококкоза могут проявляться в виде выраженной интоксикации и лихорадки. Если кистозное образование достигает значительных размеров, оно может сжимать соседние органы, что может привести к асциту, желтухе, внутренним переломам или вывихам.
Наиболее часто эхинококки поражают печень, легкие и головной мозг. Заражение сердца встречается значительно реже. У пожилых людей все признаки заболевания проявляются более ярко, а само заболевание прогрессирует гораздо быстрее.
Эхинококкоз — это паразитарное заболевание, вызываемое личинками эхинококка, которое поражает в основном печень и легкие человека. Многие люди не осведомлены о его опасности, и это может привести к серьезным последствиям. В основном, эхинококкоз передается через контакт с зараженными животными, особенно собаками, или через употребление немытых овощей и фруктов. Симптомы могут быть неочевидными на ранних стадиях, что затрудняет диагностику. Некоторые пациенты отмечают боли в животе, аллергические реакции и общую слабость. Важно помнить, что профилактика играет ключевую роль: соблюдение гигиенических норм и регулярные проверки здоровья могут значительно снизить риск заражения. Врачи подчеркивают необходимость повышения осведомленности о заболевании, чтобы люди могли своевременно обращаться за медицинской помощью.

Поражение печени
Эхинококкоз печени — это заболевание, при котором поражается данный орган, и на изображении можно увидеть, как он выглядит на второй стадии. В этот период возникают симптомы, указывающие на нарушение работы печени и желудочно-кишечного тракта:
- боль в правом подреберье;
- ощущение тяжести в животе;
- снижение аппетита;
- постоянная тошнота;
- диарея.
Эхинококкоз печени также может вызывать аллергические реакции на коже, так как именно этот орган отвечает за выведение токсинов из организма. При ухудшении его работы уровень интоксикации значительно увеличивается.
Если не начать лечение, в печени образуется киста, и эхинококкоз начинает оказывать влияние на другие органы. Заболевание может привести к распространению личинок по всему организму через кровоток. Чаще всего гельминты попадают в легкие или другие органы после того, как эхинококкоз печени достигает третьей стадии.
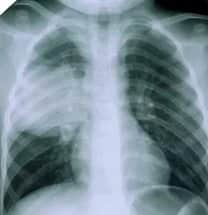
Поражение легких
Легочный эхинококкоз на стадии появления клинических симптомов проявляется довольно ярко (см. фото пораженного легкого ниже). У пациентов наблюдаются:
- выраженная аллергическая реакция (интоксикационный синдром);
- высокая температура;
- болевые ощущения в области легких;
- кашель с примесью крови.
Разрыв кистозного образования может привести к развитию пневмонии или ателектаза. Эхинококкоз у пациентов с прорывом паразитарной кисты в перикард или плевру может вызвать анафилактический шок или тампонаду сердца, что в свою очередь может привести к летальному исходу.
В легких эхинококк гранулезус, как правило, выявляется раньше, чем в других органах. Это связано с тем, что наличие микроорганизмов и кист в легочной ткани вызывает у человека затруднения с дыханием.

Поражение головного мозга и сердца
При развитии эхинококкоза у человека в головном мозге и сердце в течение первых нескольких месяцев, а иногда и лет, могут отсутствовать какие-либо симптомы. Однако, проявления болезни могут возникнуть неожиданно и начать активно указывать на поражение органа.
Гранулёзы эхинококкоза головного мозга могут вызывать нарушения чувствительности в конечностях и приводить к эпилептическим приступам. Паразитарная инфекция сердца представляет собой серьезную угрозу для жизни пациента. Когда киста достигает значительных размеров, она начинает оказывать давление на артерию, что приводит к сбоям в работе сердечной мышцы. Нарушение функций сердца может привести к фатальным последствиям, таким как тампонада, сердечная недостаточность, кардиогенный шок и другие осложнения.
Диагностика и лечение
Выявление эхинококка у человека представляет собой сложную задачу, так как его симптомы могут маскироваться под проявления различных заболеваний. Самостоятельно поставить диагноз невозможно, поэтому при возникновении проблем со здоровьем не стоит откладывать визит к врачу. Причиной недомогания может быть эхинококкоз, который можно подтвердить только после полного медицинского обследования.
Процесс диагностики эхинококкоза начинается с беседы и осмотра у специалиста. После этого пациента направляют на сдачу анализов. Лабораторные исследования проводятся для выявления реакции на наличие паразитов. Для этого необходим анализ крови и тест на аллергическую реакцию кожи.
Также осуществляется аппаратная диагностика, которая может включать рентгенографию, магнитно-резонансную томографию (МРТ), компьютерную томографию, ультразвуковое исследование (УЗИ), лапароскопию и другие методы. В зависимости от того, какой орган затронут по предварительному диагнозу, могут быть назначены дополнительные обследования.
Методы лечения
Если у пациента подтвержден диагноз «эхинококкоз», врач обязан разъяснить, что это за заболевание и какой подход к лечению следует применять. Врачи единодушны в том, что в данной ситуации необходимо хирургическое вмешательство, так как без него риск повторного появления паразитарных кист значительно возрастает.
Существует два основных метода хирургического лечения:
- эхинококкэктомия (вытаскивание кисты с сохранением ее хитиновой оболочки);
- интраоперационная пункция (удаление кисты с аспирацией ее содержимого).
Первый метод используется, когда кисты небольшого размера. Второй метод более сложный и применяется, если пузыри достигли значительных размеров. Если удалить пузырь невозможно, выполняется резекция, тип которой зависит от пораженного органа.
В предоперационный и реабилитационный период пациенту назначаются противогельминтные препараты, такие как Мебендазол, Альбендазол или Празиквантел.
Хирургическое лечение, как правило, имеет положительный прогноз. Если же попытаться справиться с паразитами только медикаментозными методами, то через год или два может произойти рецидив в более тяжелой форме. После завершения лечения все пациенты находятся под наблюдением в диспансере на протяжении десяти лет для своевременного предотвращения повторного развития заболевания.
Вопрос-ответ
Как проявляется эхинококкоз у человека?
Симптомы, свойственные конкретной локализации процесса: эхинококкоз печени встречается наиболее часто. Сопровождается тяжестью в правом подреберье, увеличением размеров печени, иногда желтухой. Эхинококкоз легких проявляется кашлем и одышкой, болями в грудной клетке.
Можно ли вылечиться от эхинококкоза?
Таким образом, эхинококкоз является серьезным, но при правильном подходе – излечимым заболеванием. Важно не только лечение, но и профилактика, которая поможет избежать заражения и развития болезни.
Где можно подхватить эхинококк?
Как происходит заражение? Можно заразиться эхинококкозом при приеме в пищу сырых овощей, лесных ягод, луговой травы, загрязненных экскрементами собак или диких животных, питье воды из природных водоемов.
Чем опасен эхинококк для человека?
Инфицирование человека эхинококкозом приводит к развитию одной или нескольких гидатидных кист, локализованных чаще всего в печени и легких, реже в костях, почках, селезенке, мышцах и центральной нервной системе. Если кисты локализуются в печени, часто наблюдаются боли в области живота, тошнота и рвота.
Советы
СОВЕТ №1
Регулярно проводите профилактические осмотры у ветеринаров для домашних животных, особенно если у вас есть собаки. Эхинококкоз чаще всего передается через инфицированных животных, поэтому важно следить за их здоровьем.
СОВЕТ №2
Соблюдайте правила личной гигиены, особенно после контакта с животными или при работе с почвой. Тщательно мойте руки с мылом, чтобы снизить риск заражения.
СОВЕТ №3
Избегайте употребления сырого или недостаточно термически обработанного мяса, особенно в регионах, где эхинококкоз распространен. Это поможет предотвратить заражение через пищу.
СОВЕТ №4
Если вы планируете путешествие в районы с высоким риском эхинококкоза, ознакомьтесь с местными рекомендациями по профилактике и соблюдайте их. Это может включать в себя избегание контакта с дикими животными и соблюдение санитарных норм.




