Дистрофические заболевания глаз, такие как дистрофия сетчатки и роговицы, угрожают здоровью зрения и могут привести к необратимым последствиям. В статье рассмотрим основные симптомы, методы диагностики и лечения этих заболеваний. Знание признаков дистрофии и своевременное обращение к специалистам повышают шансы на сохранение зрения и улучшение качества жизни. Эта информация полезна как тем, кто уже столкнулся с проблемами, так и тем, кто хочет предотвратить их развитие.
Краткая характеристика дистрофических изменений роговой и сетчатой оболочек
Дистрофия сетчатки глаза представляет собой обширное понятие, охватывающее множество различных заболеваний, которые могут проявляться как самостоятельно (первичные), так и в результате других факторов (вторичные). В зависимости от места поражения выделяют несколько типов дистрофии: пигментную, точечно-белую, центральную, периферическую и другие.
Дистрофические изменения, затрагивающие сетчатку, являются основными причинами ухудшения зрения. Они могут развиваться как у молодых людей, так и у пожилых, а также во время беременности и в других ситуациях. Долгое время симптомы могут оставаться незаметными, что приводит к необратимым изменениям в тканях глаза, и медикаментозное лечение в таких случаях часто оказывается неэффективным.
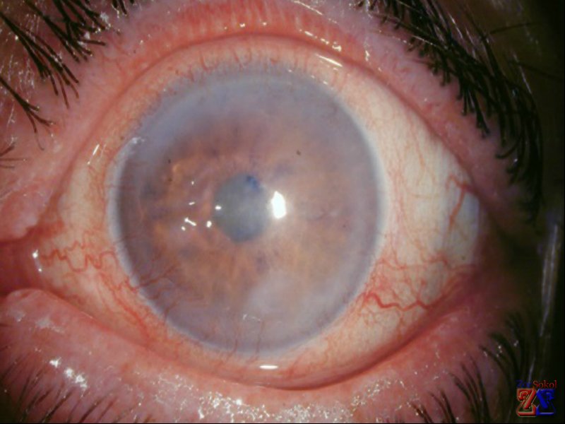
Аналогичные характеристики имеет и дистрофия роговицы. Причины ее возникновения могут быть разнообразными: от нарушений обмена веществ до нейротрофических изменений. При этом зачастую истинный источник проблемы остается неясным. Существуют различные виды роговичной дистрофии: эндотелиальная, эпителиально-эндотелиальная, лентовидная.
У детей дистрофические заболевания сетчатки и роговицы в основном являются первичными, то есть их появление связано с наследственными факторами и врожденными аномалиями. Лечение таких заболеваний должно начинаться незамедлительно после появления первых признаков угрозы.
Врачи отмечают, что дистрофические заболевания глаз представляют собой серьезную проблему в офтальмологии. Эти заболевания, как правило, связаны с дегенеративными изменениями в тканях глаза, что может привести к ухудшению зрения и даже слепоте. Специалисты подчеркивают важность ранней диагностики и регулярного наблюдения за состоянием пациентов, так как многие из этих заболеваний прогрессируют медленно, но неумолимо.
Медики рекомендуют проводить профилактические осмотры, особенно для людей с предрасположенностью к таким заболеваниям. Врачи также акцентируют внимание на необходимости комплексного подхода к лечению, который может включать медикаментозную терапию, лазерные процедуры и хирургическое вмешательство. Важно, чтобы пациенты были информированы о возможных рисках и методах лечения, что позволит им принимать активное участие в своем здоровье.
https://youtube.com/watch?v=MNrp6—9i98
Можно ли своевременно выявить опасность?
Первичная дистрофия роговицы характеризуется такими симптомами, как помутнение, снижение чувствительности и ухудшение остроты зрения. Эти изменения имеют тенденцию к постоянному прогрессированию, затрагивая оба глаза и приводя к утрате их функциональности. Поэтому крайне важны своевременная диагностика и лечение. На ранних стадиях можно остановить развитие заболевания с помощью специальных препаратов.
Что касается вторичной дистрофии роговицы, то ее причины могут включать травмы, кератиты, авитаминозы, врожденную глаукому и другие факторы. Она может развиваться на фоне болезни Стилла и сопровождаться необратимыми изменениями, помутнением роговицы, иридоциклитом, образованием катаракты и поражением сетчатки.
Пользовательские отзывы свидетельствуют о том, что независимо от типа дистрофии роговицы, пациенты отмечают следующие симптомы:
- Ощущение инородных тел в глазах.
- Болезненное моргание.
- Напряжение и ухудшение зрения из-за отечности и нарушения прозрачности роговицы.
- Светобоязнь и слезотечение.
- Покраснение глаз.
При появлении подобных симптомов важно обратиться к офтальмологу для назначения своевременного лечения.
Дистрофия сетчатки глаза часто имеет наследственный характер, однако у детей она встречается редко. Чаще всего заболевание развивается в период беременности или в пожилом возрасте. Симптомы начинаются с «куриной слепоты» (плохая видимость в темноте), сужения зрительных полей и постепенного необратимого снижения остроты зрения.
Приобретенная дистрофия сетчатки, как и дистрофия роговицы, может возникнуть после травм или воспалительных процессов, интоксикаций и различных заболеваний, приводящих к нарушению кровообращения и питания глазных тканей. Часто симптомы дистрофических изменений отсутствуют, что затрудняет своевременное лечение. Иногда могут беспокоить «мушки» или «молнии» перед глазами, после чего появляются более выраженные признаки.
Если дистрофия приводит к разрыву или отслоению сетчатки, может возникнуть внезапное появление завесы перед глазами и резкое ухудшение зрения. В таких случаях требуется хирургическое вмешательство, особенно при беременности. Однако даже операция не всегда гарантирует восстановление прежнего состояния глаз.
Дистрофические заболевания глаз вызывают множество обсуждений среди пациентов и специалистов. Многие люди делятся своими переживаниями о том, как эти заболевания влияют на качество жизни. Некоторые отмечают, что ранняя диагностика и регулярные осмотры у офтальмолога помогают замедлить прогрессирование болезни. Другие же сталкиваются с трудностями в поиске информации о лечении и поддерживающих методах. В социальных сетях активно обсуждаются новые исследования и разработки в области терапии, что вселяет надежду. Также пациенты подчеркивают важность поддержки со стороны близких и общения с теми, кто сталкивается с аналогичными проблемами. Обсуждения часто касаются и психологических аспектов, ведь потеря зрения может стать серьезным испытанием. В целом, люди стремятся делиться опытом и находить пути для улучшения своего состояния.
| Заболевание | Основные симптомы | Рекомендуемые действия |
|---|---|---|
| Макулярная дегенерация (ВМД) | Снижение центрального зрения, искажение прямых линий, появление темных пятен в поле зрения | Регулярные осмотры у офтальмолога, антиоксидантная терапия, инъекции анти-VEGF препаратов, лазерная коагуляция |
| Пигментный ретинит | Прогрессирующее сужение поля зрения (туннельное зрение), снижение ночного зрения, потеря периферического зрения | Генетическое консультирование, витаминотерапия (витамин А), использование вспомогательных средств для слабовидящих, экспериментальные методы лечения (генная терапия) |
| Дистрофия роговицы Фукса | Ухудшение зрения по утрам, ощущение песка в глазах, отек роговицы, появление пузырьков на роговице | Использование гипертонических глазных капель, пересадка роговицы (кератопластика) |
| Кератоконус | Прогрессирующее истончение и выпячивание роговицы, астигматизм, снижение остроты зрения, двоение в глазах | Ношение жестких контактных линз, кросслинкинг роговицы, имплантация интрастромальных роговичных сегментов, пересадка роговицы |
| Дистрофия сетчатки Штаргардта | Прогрессирующее снижение центрального зрения, нарушение цветового зрения, появление желтоватых пятен на сетчатке | Генетическое консультирование, защита глаз от яркого света (солнцезащитные очки), экспериментальные методы лечения (генная терапия, стволовые клетки) |
Какие виды лечения спасут от потери зрения?
Если дистрофия роговицы обусловлена генетическими причинами, лечение будет направлено на устранение симптомов. Поскольку изменить наследственность и выяснить источники заболевания зачастую невозможно, основная задача заключается в защите роговицы, снижении воспалительных процессов и облегчении дискомфорта.
Для этого могут быть рекомендованы различные препараты в форме глазных капель и мазей, а также витаминные комплексы. К примеру:
- Тауфон.
- Эмоксипин и его аналоги.
- Солкосерил.
Кроме того, может быть назначена физиотерапия. Если консервативное лечение не даст результатов, возможно проведение пересадки роговицы.
Что касается дистрофии сетчатки, то медикаментозное лечение в основном не применяется, однако могут быть назначены средства, замедляющие прогрессирование заболевания. К таким препаратам относятся ангиопротекторы, сосудорасширяющие и рассасывающие средства, кортикостероиды и антиоксиданты. В некоторых случаях под конъюнктиву вводят флавинаты и биогенные стимуляторы.
В качестве дополнительных методов могут использоваться ультразвуковая, микроволновая и электротерапия. Для улучшения кровообращения и обмена веществ может потребоваться хирургическое вмешательство:
- Антиглаукомные и вазореконструктивные операции.
- Удаление катаракты.
- Лазерная фотокоагуляция – процедура, предотвращающая дальнейшее распространение болезни на сетчатке.
Если дистрофия сетчатой оболочки обнаружена у беременной женщины, ей необходимо регулярно посещать офтальмолога. Лекарственные препараты не назначаются, так как они могут негативно сказаться на развитии плода.
Для профилактики отслоения сетчатки до 35 недель беременности может быть проведена лазерная коагуляция. Также может быть рекомендовано кесарево сечение. Однако многие беременные женщины отмечают, что после операции они успешно рожали самостоятельно.
Даже если лечение сетчатой оболочки или роговицы прошло успешно, пациентам следует придерживаться здорового образа жизни, отказаться от вредных привычек и принимать витамины.
Надеемся, что вы нашли нужную информацию, и статья оказалась полезной. Ждем ваших комментариев. Будьте здоровы!
https://youtube.com/watch?v=Hioy7aMqG9o
https://youtube.com/watch?v=gdpfm3iOUkA
Профилактика дистрофических заболеваний глаз
Профилактика дистрофических заболеваний глаз играет ключевую роль в сохранении здоровья органов зрения и предотвращении их прогрессирования. Эти заболевания, как правило, связаны с дегенеративными изменениями в тканях глаза, что может привести к ухудшению зрения и даже слепоте. Основные аспекты профилактики включают в себя регулярные осмотры у офтальмолога, соблюдение здорового образа жизни, а также использование специальных средств для защиты глаз.
Регулярные осмотры у офтальмолога являются важным элементом профилактики. Врач может выявить ранние признаки дистрофических изменений, что позволяет начать лечение на ранних стадиях. Рекомендуется проходить обследование не реже одного раза в год, особенно для людей старше 40 лет, а также для тех, кто имеет предрасположенность к заболеваниям глаз.
Здоровый образ жизни также способствует профилактике дистрофических заболеваний. Это включает в себя сбалансированное питание, богатое витаминами и минералами, особенно витаминами A, C и E, а также омега-3 жирными кислотами. Эти нутриенты помогают поддерживать здоровье сетчатки и других структур глаза. Употребление свежих овощей и фруктов, а также рыбы и орехов может значительно снизить риск развития дистрофических изменений.
Физическая активность также важна для поддержания общего здоровья, включая здоровье глаз. Регулярные упражнения способствуют улучшению кровообращения, что, в свою очередь, положительно сказывается на питании глазных тканей. Однако следует помнить о необходимости защиты глаз во время занятий спортом, особенно при выполнении активных видов деятельности.
Защита глаз от ультрафиолетового излучения является еще одним важным аспектом профилактики. Длительное пребывание на солнце без защиты может способствовать развитию катаракты и других дистрофических заболеваний. Использование солнцезащитных очков с высоким уровнем защиты от UV-излучения поможет предотвратить негативное воздействие солнечных лучей на глаза.
Кроме того, важно избегать чрезмерной нагрузки на глаза, особенно в условиях современного мира, где многие люди проводят много времени за компьютером или с мобильными устройствами. Рекомендуется делать перерывы каждые 20-30 минут, следуя правилу 20-20-20: каждые 20 минут смотреть на объект, находящийся на расстоянии 20 футов (примерно 6 метров), в течение 20 секунд. Это помогает снизить напряжение глаз и предотвратить развитие дистрофических изменений.
Наконец, важно помнить о вредных привычках, таких как курение и чрезмерное употребление алкоголя, которые могут негативно сказаться на здоровье глаз. Отказ от этих привычек может значительно снизить риск развития дистрофических заболеваний и улучшить общее состояние здоровья.
Вопрос-ответ
Как видит человек с дистрофией сетчатки глаза?
Типичными симптомами патологии являются: возникновение участков помутнения, темных пятен или точек перед глазами, появление слепых пятен, которые особенно заметны во время чтения или работы за компьютером; буквы «теряются», сужение полей зрения – эффект туннеля (при периферической форме), ухудшение цветовосприятия.
Можно ли вылечить дистрофию сетчатки?
Полностью вылечить ВМД невозможно. Тем не менее, развитие заболевания можно замедлить, приостановить, а иногда даже добиться улучшения состояния. «Сухая» форма не требует медикаментозного и хирургического вмешательства.
Что такое дистрофический очаг глаза?
Дистрофический очаг представляет резко истонченный участок сетчатки. В большинстве случаев подобные изменения затрагивают не только сетчатку, но и прилежащее к ней стекловидное тело и сосудистую оболочку глаза.
Советы
СОВЕТ №1
Регулярно проходите обследования у офтальмолога. Дистрофические заболевания глаз могут развиваться незаметно, поэтому важно выявлять их на ранних стадиях. Профилактические осмотры помогут своевременно обнаружить изменения и начать лечение.
СОВЕТ №2
Обратите внимание на свое питание. Включите в рацион продукты, богатые антиоксидантами, такие как морковь, шпинат, ягоды и орехи. Эти вещества помогают защитить глаза от повреждений и поддерживают здоровье сетчатки.
СОВЕТ №3
Соблюдайте правила гигиены зрения. Делайте перерывы при работе за компьютером, используйте защитные очки при ярком свете и избегайте длительного воздействия ультрафиолетовых лучей. Это поможет снизить риск развития дистрофических изменений.
СОВЕТ №4
Следите за состоянием общего здоровья. Хронические заболевания, такие как диабет и гипертония, могут негативно влиять на здоровье глаз. Контролируйте свое состояние и следуйте рекомендациям врачей для предотвращения осложнений.


