В статье рассмотрим глазные заболевания: макулодистрофию и дистрофию роговицы, которые могут привести к потере зрения. Понимание симптомов и механизмов их развития важно для диагностики и лечения. Обсудим, как распознать первые признаки этих патологий и какие современные методы терапии доступны. Эта информация полезна как пациентам, так и специалистам, стремящимся повысить осведомленность о глазных дистрофиях.
Описание макулодистрофии
Макулярная дистрофия представляет собой заболевание желтого пятна сетчатки, которое приводит к ухудшению центрального зрения. Основные причины ее возникновения связаны с сосудистыми патологиями и нарушением питания тканей в центральной части сетчатки. К факторам, способствующим развитию этого состояния, относятся:
-
Генетическая предрасположенность. Одной из наследственных форм макулярной дистрофии является макулодистрофия Штаргардта, которая характеризуется двусторонним поражением. Первые признаки заболевания могут проявляться у детей в возрасте от 8 до 15 лет. К ним относятся значительное снижение зрения, которое не поддается коррекции; появление черных пятен (скотом) в поле зрения; а также нарушения восприятия цветов. Следует отметить, что наследственность также играет роль в развитии дистрофии роговицы, которая приводит к двустороннему помутнению тканей.
-
Возраст. Возрастная макулярная дистрофия (сухая или экссудативная) является основной причиной слепоты среди людей старше 55 лет. Чаще всего ей подвержены женщины, так как они, как правило, живут дольше, а также люди старше 75 лет и те, кто имеет наследственную предрасположенность, в случае которых лечение может оказаться неэффективным.
-
Этническая принадлежность. У европейцев макулодистрофия встречается чаще, чем у афроамериканцев.
-
Вредные привычки. Курение, употребление алкоголя и наркотиков негативно сказываются на здоровье глаз.
-
Недостаток витаминов. Существует мнение, что дефицит витаминов С и Е, цинка и других полезных веществ может способствовать развитию дистрофии сетчатки.
-
Цитомегаловирус. Этот вирус может вызывать влажную форму дистрофии сетчатки, а также поражать ткани роговицы.
Симптомы макулодистрофии могут проявляться по-разному, однако существуют общие признаки. К ним относятся затуманенное зрение, трудности с чтением и распознаванием лиц, а также искажение прямых линий объектов. Дистрофия роговицы обычно дает о себе знать в возрасте 10-14 лет, проявляясь болями в глазах, слезотечением, светобоязнью, покраснением и помутнением роговицы.
Наследственная и возрастная макулодистрофия (в сухой и экссудативной формах) могут привести к различным нарушениям зрения — от незначительных до полной потери центрального зрения. Это существенно влияет на качество жизни и ограничивает выполнение многих действий. Тем не менее, периферическое зрение может сохраняться, даже если лечение не дало ожидаемых результатов, что предотвращает полную слепоту.
Врачи отмечают, что дистрофии сетчатой и роговой оболочек глаз представляют собой серьезные заболевания, которые могут значительно ухудшить качество жизни пациентов. Специалисты подчеркивают важность ранней диагностики, так как это позволяет своевременно начать лечение и замедлить прогрессирование болезни. Многие врачи рекомендуют регулярные осмотры у офтальмолога, особенно для людей с предрасположенностью к данным патологиям. Лечение может включать как медикаментозную терапию, так и хирургические вмешательства, в зависимости от стадии заболевания. Врачи также акцентируют внимание на необходимости комплексного подхода, включая коррекцию образа жизни и соблюдение рекомендаций по уходу за глазами. Профилактика и осведомленность о симптомах дистрофий играют ключевую роль в сохранении зрения.
https://youtube.com/watch?v=gdpfm3iOUkA
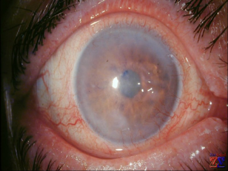
Виды дистрофии сетчатой и роговой оболочек
Существует две основные формы макулодистрофии: сухая и экссудативная (влажная). Сухая форма является наиболее распространенной. Ее характерные признаки включают поражение одного глаза и наличие желтого налета (друз), который негативно влияет на фоторецепторы макулы. При этой патологии снижение зрения происходит постепенно.
Экссудативная форма встречается реже, но представляет собой серьезную угрозу, так как приводит к образованию новых кровеносных сосудов в области желтого пятна. Эти сосуды пытаются восполнить нехватку питания для тканей макулы, однако из-за своей хрупкости они склонны к частым кровотечениям. Прогрессирование этой формы макулярной дистрофии сетчатки происходит довольно быстро, что может привести к значительному ухудшению зрения.
Что касается дистрофии роговицы, то она имеет большее количество форм, которые зависят от их расположения:
- Эпителиальные.
- Эндотелиальные.
- Стромальные.
- Другие (дистрофии Боумена, Тиель-Бенке, Рейс-Буклера).
Дистрофия сетчатой и роговой оболочек глаз — это заболевание, о котором говорят многие пациенты и специалисты. Люди, столкнувшиеся с этой проблемой, часто описывают свои ощущения как постепенное ухудшение зрения, что вызывает у них тревогу и страх перед будущим. Некоторые отмечают, что симптомы могут проявляться в виде размытости, искажения изображений или появления «плавающих» пятен.
Медики подчеркивают важность ранней диагностики и регулярного наблюдения, так как это может существенно замедлить прогрессирование болезни. В социальных сетях пациенты делятся своими историями, обсуждают методы лечения и реабилитации, а также поддерживают друг друга в трудные времена. Многие находят утешение в том, что существуют современные технологии и хирургические вмешательства, способные улучшить качество жизни. Обсуждения на форумах помогают людям не чувствовать себя одинокими в своей борьбе с заболеванием.
| Тип дистрофии | Пораженная структура | Основные симптомы |
|---|---|---|
| Дистрофия Фукса | Эндотелий роговицы | Снижение зрения, отек роговицы, боль, светобоязнь |
| Решетчатая дистрофия роговицы | Строма роговицы | Рецидивирующие эрозии, снижение зрения, боль, светобоязнь |
| Краевая дегенерация Терриена | Периферия роговицы | Истончение роговицы, астигматизм, перфорация роговицы |
| Дистрофия конусов и палочек | Фоторецепторы сетчатки | Снижение центрального зрения, нарушение цветового зрения, светобоязнь |
| Пигментная дегенерация сетчатки | Фоторецепторы и пигментный эпителий сетчатки | Прогрессирующее снижение ночного и периферического зрения, сужение полей зрения |
| Витреоретинальная дистрофия Гольдмана-Фавре | Сетчатка и стекловидное тело | Снижение зрения, отслойка сетчатки, кровоизлияния в стекловидное тело |
| Макулярная дистрофия Штаргардта | Макула сетчатки | Снижение центрального зрения, метаморфопсии, нарушение цветового зрения |
| Дистрофия Беста | Макула сетчатки | Снижение центрального зрения, метаморфопсии, кисты в макуле |
Методы лечения: традиционные и оперативные
Чаще всего возрастная сухая макулодистрофия не требует лечения. В отдельных случаях применяются лазерная терапия, пороговая или низкоинтенсивная. Эти методы направлены на удаление желтого налета, известного как друпы.
Ранее экссудативная форма лечилась с использованием фотодинамической терапии, как упоминается в Википедии. Суть этого метода заключалась во внутривенном введении препарата Визудин, который избирательно накапливался в новообразованных сосудах глаза и практически не воздействовал на пигментные клетки сетчатки.
Параллельно проводилась низкоинтенсивная лазерная терапия с использованием красного лазера. Под его воздействием новообразованные сосуды разрушались и слипались, что способствовало устранению кровоизлияний. Эффект от процедуры сохранялся в течение 1-1,5 лет. Следует отметить, что лазерное облучение также применяется при заболеваниях роговицы.
В настоящее время лечение влажной формы макулодистрофии основано на использовании нового препарата – Луцентиса. Он вводится в глазное яблоко для подавления новообразования и активности новых сосудов, что способствует стабилизации и улучшению зрения. В среднем в год проводится 5 инъекций, а курс лечения составляет 2 года. Симптомы заболевания начинают ослабевать уже после первой инъекции.
В некоторых случаях для лечения возрастной макулодистрофии используется высокотоксичный препарат Авастин, предназначенный для борьбы с раком прямой кишки и другими заболеваниями. Однако существуют данные о том, что его введение в глаз может привести к воспалительным процессам, эндофтальму, ухудшению зрения и хлопьеобразным помутнениям в стекловидном теле.
Иногда экссудативная форма возрастной макулодистрофии лечится лазерной коагуляцией, что позволяет остановить кровотечение из новых сосудов сетчатки. Это лечение назначается для предотвращения ухудшения зрения.
Что касается макулярной дистрофии Штаргардта, то эффективного лечения этой болезни не существует. В редких случаях облегчить симптомы могут вазореконструктивные операции, а также электростимуляция. К сожалению, прогноз на восстановление зрения в большинстве случаев неблагоприятный.
Даже успешное лечение не может гарантировать, что макулодистрофия (как сухая, так и экссудативная форма) не появится вновь, поэтому после лечения пациент должен регулярно проходить обследование у офтальмолога. Это также касается людей с повышенным риском развития данной патологии. Своевременные меры могут замедлить или остановить ее прогрессирование.
Лечение дегенерации роговицы в основном включает назначение витаминных препаратов (капель, мазей, таблеток) и средств, улучшающих питание роговицы, таких как Эмоксипин, Тауфон, Актовегин и другие. Дополнительно может использоваться физиотерапия (лазерное облучение, электрофорез и т.д.). Если эффекта нет, может быть проведена сквозная или послойная кератопластика.
Подробное видео о развитии макулодистрофии:
Надеемся, что болезни роговицы и других глазных структур обойдут вас стороной! Ждем ваши комментарии к статье: ваше мнение, советы или вопросы.
https://youtube.com/watch?v=_HvSeAWPAGg
https://youtube.com/watch?v=MNrp6—9i98
Профилактика и ранняя диагностика дистрофий глаз
Профилактика и ранняя диагностика дистрофий глаз являются ключевыми аспектами в борьбе с этим заболеванием. Дистрофии сетчатой и роговой оболочек глаз могут привести к значительному ухудшению зрения и даже слепоте, поэтому важно уделять внимание профилактическим мерам и своевременному выявлению патологии.
Одним из основных направлений профилактики дистрофий является регулярное обследование у офтальмолога, особенно для людей, находящихся в группе риска. К таким группам относятся пациенты с наследственными заболеваниями, диабетом, а также те, кто подвергается воздействию вредных факторов, таких как ультрафиолетовое излучение и работа с химическими веществами.
Ранняя диагностика дистрофий сетчатки и роговицы включает в себя использование современных методов обследования, таких как оптическая когерентная томография (ОКТ), флуоресцентная ангиография и периметрия. Эти методы позволяют выявить изменения в тканях глаза на ранних стадиях, что значительно увеличивает шансы на успешное лечение.
Кроме того, важным аспектом профилактики является информирование пациентов о факторах риска и симптомах, которые могут указывать на развитие дистрофий. К таким симптомам относятся ухудшение зрения, появление «мушек» перед глазами, искажение изображений и другие визуальные аномалии. При появлении подобных признаков необходимо незамедлительно обратиться к специалисту.
Также стоит отметить, что здоровый образ жизни, включая правильное питание, отказ от курения и умеренные физические нагрузки, может существенно снизить риск развития дистрофий. Витамины и антиоксиданты, такие как витамины A, C и E, а также омега-3 жирные кислоты, играют важную роль в поддержании здоровья глаз и могут помочь в профилактике дистрофий.
В заключение, профилактика и ранняя диагностика дистрофий сетчатой и роговой оболочек глаз требуют комплексного подхода, включающего регулярные обследования, информирование о симптомах и факторах риска, а также ведение здорового образа жизни. Это позволит сохранить зрение и предотвратить серьезные осложнения, связанные с дистрофиями глаз.
Вопрос-ответ
Что такое сетчатая дистрофия роговицы?
Решётчатая дистрофия роговицы, тип I (LCD1, дистрофия Бибера-Хааба-Диммера) — редкая форма дистрофии роговой оболочки человека, связанная с мутациями гена TGFBI, кодирующего кератоэпителин. В отличие от решётчатой дистрофии II типа она не имеет системных проявлений.
Можно ли вылечить дистрофию сетчатки глаза?
Полностью вылечить ВМД невозможно. Тем не менее, развитие заболевания можно замедлить, приостановить, а иногда даже добиться улучшения состояния. «Сухая» форма не требует медикаментозного и хирургического вмешательства.
Чем опасна дистрофия роговицы?
Особенность аномалии состоит в том, что она обнаруживается на обоих глазах, и в ряде случаев врачам не удается установить первопричину деструктивного процесса. Если вовремя не обратить внимание на болезнь и не начать лечение дистрофии роговицы, существует риск утраты зрения.
Советы
СОВЕТ №1
Регулярно проходите обследования у офтальмолога. Раннее выявление дистрофий сетчатки и роговицы может значительно улучшить прогноз и помочь в выборе эффективного лечения.
СОВЕТ №2
Следите за своим питанием. Включение в рацион продуктов, богатых антиоксидантами (таких как морковь, шпинат и ягоды), может помочь поддерживать здоровье глаз и замедлить прогрессирование дистрофий.
СОВЕТ №3
Избегайте чрезмерного воздействия ультрафиолетового света. Носите солнцезащитные очки с UV-фильтром, чтобы защитить глаза от вредного воздействия солнечных лучей, что может снизить риск развития дистрофий.
СОВЕТ №4
Обратите внимание на здоровье своих глаз при использовании цифровых устройств. Соблюдайте правило 20-20-20: каждые 20 минут смотрите на объект, находящийся на расстоянии 20 футов (примерно 6 метров), в течение 20 секунд, чтобы снизить напряжение глаз.


