Виды
Трихинелла – это паразит, который может обитать в мышечной ткани и вызывает заболевание, известное как трихинеллез. Существует несколько способов заражения этим паразитом. Наиболее распространенный путь – это употребление мяса, содержащего личинки. Если мясо недостаточно прожарено или проварено, то паразиты попадают в желудок, что может привести к заражению, особенно при слабом иммунном ответе.
Личинки трихинеллы чаще всего встречаются в мясе диких животных и свиней. Они проникают в организм животных через зараженные насекомые. Поэтому охотники и их семьи, которые едят дичь, чаще всего становятся жертвами этого заболевания.
Тем не менее, заражение можно предотвратить, если тщательно обработать мясо термически. При температуре 180 градусов мясо должно готовиться не менее 20 минут, чтобы уничтожить все инвазионные агенты. Копчение также может обеспечить безопасность, в то время как засолка не гарантирует уничтожение паразитов.
Что касается сала, то оно считается относительно безопасным для употребления, так как трихинеллы не могут выжить в жировой прослойке. Однако если сало содержит мясные вкрапления, то оно может быть столь же опасным, как и само мясо.
Паразиты в мышцах человека могут появляться по нескольким причинам, и врачи подчеркивают важность осведомленности об этом вопросе. Основным источником заражения являются продукты животного происхождения, особенно мясо, которое не прошло достаточную термическую обработку. Например, некоторые виды паразитов, такие как трихинеллы, могут находиться в мясе свиней и диких животных. Врачи также отмечают, что контакт с зараженными животными или их экскрементами может привести к инфицированию. Кроме того, недостаточная гигиена и несоблюдение санитарных норм в сельском хозяйстве способствуют распространению паразитов. Профилактика включает в себя тщательное мытье рук, соблюдение правил приготовления пищи и регулярные медицинские осмотры, что позволяет снизить риск заражения и защитить здоровье.

Симптомы
Если в организме человека поселяются паразиты, симптомы могут начать проявляться всего через несколько дней после заражения. На начальном этапе часто наблюдаются характерные кишечные проявления, схожие с симптомами многих гельминтозов:
- Запоры или диарея, иногда с примесью крови и слизи (могут быть как периодическими, так и постоянными, или чередоваться);
- Вздутие живота и метеоризм, которые могут проявляться как время от времени, так и постоянно (возможны оба симптома одновременно или по отдельности);
- Синдром раздраженного кишечника возникает из-за повреждения стенок кишечника паразитами, что приводит к их воспалению.
Спустя несколько дней после появления первых признаков, глисты проникают в мышцы и суставную жидкость. Это происходит потому, что личинки мигрируют из кишечника в более подходящие для жизни места. На этой стадии появляются более выраженные симптомы, такие как боли в мышцах и суставах. Пациенты часто описывают эти ощущения как схожие с артритом, что приводит к запоздалой диагностике и запущенности состояния, так как люди не обращаются за медицинской помощью. Боли возникают из-за повреждения тканей, вызванного жизнедеятельностью паразитов.
Как и при других паразитарных инфекциях, у пациентов развивается выраженный аллергический синдром. В основном аллергические реакции проявляются на коже.
| Паразит | Способ заражения | Симптомы |
|---|---|---|
| Трихинелла (Trichinella spiralis) | Употребление сырого или недостаточно термически обработанного мяса (свинина, дичь) | Мышечные боли, лихорадка, отек лица, слабость |
| Цистицерк (Cysticercus cellulosae) | Употребление в пищу яиц свиного цепня (Taenia solium) с загрязненной пищей или водой | Мышечные боли, уплотнения в мышцах, судороги (при поражении ЦНС) |
| Токсокара (Toxocara canis/cati) | Употребление яиц токсокар с загрязненной почвой, пищей, водой (чаще у детей) | Мышечные боли, лихорадка, увеличение печени, аллергические реакции |
| Саркоциста (Sarcocystis spp.) | Употребление сырого или недостаточно термически обработанного мяса (говядина, свинина) | Мышечные боли, слабость, лихорадка (часто бессимптомно) |
| Эхинококк (Echinococcus granulosus/multilocularis) | Употребление яиц эхинококка с загрязненной пищей, водой, контакт с зараженными животными | Мышечные боли, образование кист в мышцах, органах, общая слабость |
Терапия
В основном применяется симптоматическая терапия. Важнейшую роль в лечении играют кортикостероиды и аспирин. Специфическое противопаразитарное лечение включает использование препарата Тибендазол, который эффективно уничтожает зрелых гельминтов в кишечнике, однако не воздействует на личинок.
Лечение всех форм данного заболевания (за исключением стертых и малозаметных) проводится в стационаре. Это обусловлено тем, что реакция на терапию может проявляться в виде временного, но стремительного ухудшения состояния. Кроме того, само лечение может вызывать побочные эффекты, которые порой бывают довольно серьезными.
При стертых формах инвазии чаще всего назначают Мебендазол. Взрослым рекомендуется принимать по 0,3 г в сутки, а для детей дозировка определяется индивидуально с учетом их веса. Курс лечения составляет от 7 до 10 дней. После стабилизации состояния полезно проводить массажи и заниматься гимнастикой.
Паразиты в мышцах — тема, вызывающая множество вопросов и споров. Многие люди считают, что основным источником заражения являются продукты животного происхождения, особенно плохо приготовленное мясо. Другие утверждают, что контакт с заражёнными животными или их экскрементами также может привести к инфицированию. Некоторые исследователи подчеркивают, что определённые виды паразитов могут проникать в организм через кожу, особенно при купании в загрязнённых водоёмах.
Существует мнение, что ослабленный иммунитет способствует более лёгкому проникновению паразитов в мышцы. Люди делятся личными историями о том, как после поездок в экзотические страны у них возникали проблемы со здоровьем, связанные с паразитами. Важно отметить, что профилактика, такая как соблюдение правил гигиены и тщательная термическая обработка пищи, может значительно снизить риск заражения. Обсуждения на эту тему продолжаются, и каждый случай уникален, что делает проблему ещё более актуальной.

Осложнения
Трихинеллез характеризуется способностью быстро развиваться и распространяться, затрагивая различные органы и системы. В случае тяжелого течения болезни эти мышечные глисты и паразиты могут привести к поражению внутренних органов, центральной нервной системы и даже глаз. Однако осложненные формы заболевания встречаются довольно редко.
При нормальной работе иммунной системы эти паразиты не представляют серьезной угрозы. Легкие симптомы заражения могут проявляться в течение нескольких лет, и инвазия часто выявляется случайно.
Наиболее опасные осложнения возникают, когда паразит проникает в нервную систему. Условия для его существования там неблагоприятны, и он быстро погибает, но успевает причинить вред, что может привести к серьезным последствиям, таким как паралич дыхательных путей. Тем не менее, как уже упоминалось, такие случаи происходят довольно редко. Также заболевание может затрагивать глаза, но это случается нечасто.
Видео

Вопрос-ответ
Паразиты в мышцах человека симптомы?
К симптомам относятся тошнота, диарея и спазмы в животе. Как только личинки проникают в мышцы, у людей могут развиваться другие симптомы, такие как боль и болезненность мышц, слабость, высокая температура, головная боль и отек лица, особенно вокруг глаз.
Как понять, что в теле паразиты?
Понять, что в теле могут быть паразиты, можно по ряду симптомов, таких как необъяснимая потеря веса, постоянная усталость, проблемы с пищеварением (например, диарея или запоры), зуд в области ануса, аллергические реакции, а также изменения в аппетите. Если вы подозреваете наличие паразитов, рекомендуется обратиться к врачу для диагностики и анализа.
Какой паразит живет в мышцах?
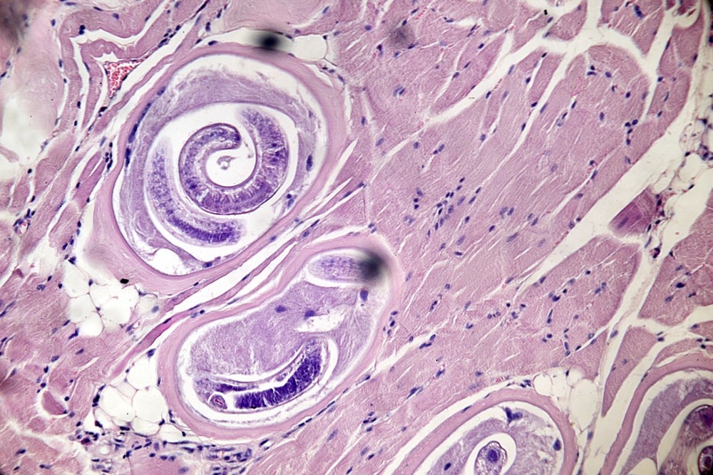
Трихинеллы (лат. Trichinella) — род паразитических круглых червей класса Enoplea. В роли хозяев выступают плотоядные млекопитающие, в том числе человек. Первая личиночная стадия паразитирует в поперечно-полосатой мускулатуре, три последующих личиночных стадии и взрослые особи — в просвете тонкого кишечника.
При каких паразитах болят мышцы?
Боль в мышцах и суставах. Некоторые гельминты, например, круглые черви трихинеллы, поражают мышцы. Помимо этого, болезненность мышечной ткани и суставов вызывает интоксикация организма продуктами жизнедеятельности глистов.
Советы
СОВЕТ №1
Регулярно проверяйте свое здоровье и проходите медицинские обследования, особенно если вы часто контактируете с животными или находитесь в местах с повышенным риском заражения. Это поможет выявить паразитов на ранней стадии и предотвратить их распространение.
СОВЕТ №2
Соблюдайте правила гигиены, особенно после контакта с животными или при работе с сырым мясом. Тщательно мойте руки с мылом, а также используйте антисептики, чтобы снизить риск заражения.
СОВЕТ №3
Избегайте употребления сырого или недостаточно термически обработанного мяса, особенно свинины и рыбы, так как они могут быть источником паразитов. Убедитесь, что мясные продукты готовятся до безопасной температуры.
СОВЕТ №4
Следите за состоянием своих домашних животных и регулярно проводите им профилактические обработки от паразитов. Это поможет защитить не только их здоровье, но и ваше, так как многие паразиты могут передаваться от животных к человеку.

