Возбудитель
Заболевание вызывается паразитами, относящимися к группе споровиков, которые поражают кровеносную систему. Эти микроорганизмы проникают в организм и обитают внутри эритроцитов. Это создает определенные сложности в процессе лечения, поскольку внутриклеточные паразиты требуют особого подхода.
Споровики имеют широкое распространение. Существует множество их видов, которые вызывают схожие симптомы и обладают аналогичным механизмом действия. Они встречаются практически повсеместно, за исключением Антарктиды. В России наибольшее количество этих паразитов зафиксировано в Сибири.
Бабезиоз крупного рогатого скота представляет собой серьезное заболевание, вызываемое простейшими паразитами рода Babesia. Врачи отмечают, что болезнь передается через укусы клещей, что делает ее особенно актуальной в теплый сезон. Симптоматика может варьироваться от легкой до тяжелой и включает в себя лихорадку, анемию, желтуху и общую слабость. Врачи подчеркивают, что ранняя диагностика и лечение играют ключевую роль в успешном исходе. Важно проводить регулярные осмотры животных и применять профилактические меры, такие как обработка противоклещевыми средствами. Поскольку бабезиоз может привести к значительным экономическим потерям в животноводстве, ветеринары рекомендуют фермерам быть внимательными к состоянию своих животных и незамедлительно обращаться за помощью при первых признаках заболевания.

Пути передачи
Паразит передается через укусы клещей, и наибольшую угрозу представляют некоторые виды из семейства Иксодовые. Споры данного клеща находятся в его слюне. При укусе клещ вводит в кровь животного слюну, содержащую эти споры, что приводит к заражению. Практически все виды пастбищных клещей могут быть опасны в этом плане.
Для профилактики используются следующие меры:
- Уничтожение грызунов на пастбищах, которые являются промежуточными хозяевами;
- Обработка пастбищ и борьба с клещами;
- Регулярная обработка животных от клещей и других паразитов.
На сегодняшний день заболевание недостаточно изучено, и неясно, существуют ли другие способы передачи. Тем не менее, известно, что соблюдение вышеуказанных правил практически полностью исключает риск распространения инфекции среди животных.
Предполагается, что прямая передача инфекции от зараженного животного к здоровому не происходит (за исключением случаев переливания крови).
| Стадия развития бабезии | Место обитания в организме КРС | Клинические проявления |
|---|---|---|
| Спорозоиты | Слюнные железы клеща, затем эритроциты КРС | Инкубационный период (от нескольких дней до 3 недель) |
| Мерозоиты | Эритроциты КРС | Лихорадка, анемия, желтуха, гемоглобинурия (моча цвета кофе), угнетение, снижение аппетита, потеря веса, одышка, тахикардия, увеличение лимфоузлов, спленомегалия |
| Гамонты | Эритроциты КРС | Хроническое течение, снижение продуктивности, истощение, возможны рецидивы |
Опасность для человека
Люди могут заболеть бабезиозом, однако чаще всего его вызывают споровики других видов. Неясно, могут ли споровики, поражающие крупный рогатый скот, выживать в крови человека. Тем не менее, не рекомендуется употреблять мясо животных, которые были заражены. Прямой передачи инфекции от животного к человеку при контакте не наблюдается.
Заболевание у людей встречается довольно редко. С момента его первого выявления в Югославии в 1957 году в медицинских источниках зафиксировано всего около 100 случаев этой болезни у людей. Однако при отсутствии адекватного и своевременного лечения большинство из этих случаев заканчивались летальным исходом.
Бабезиоз крупного рогатого скота — это серьезное заболевание, вызываемое простейшими паразитами рода Babesia. Многие фермеры отмечают, что симптомы болезни могут проявляться внезапно: у животных наблюдаются высокая температура, анемия, слабость и желтуха. Важно отметить, что болезнь передается через укусы клещей, что делает профилактику особенно актуальной. Некоторые владельцы скота делятся опытом применения различных методов борьбы с клещами, включая обработку пастбищ и использование специальных репеллентов. Однако, несмотря на усилия, случаи бабезиоза продолжают фиксироваться, что вызывает беспокойство среди агрономов и ветеринаров. Профилактические меры и регулярные осмотры животных становятся ключевыми факторами в борьбе с этой болезнью. Важно также помнить о необходимости вакцинации и своевременного лечения, чтобы минимизировать потери и сохранить здоровье стада.

Симптомы
Симптоматика у крупного рогатого скота (КРС) обычно проявляется остро. Болезнь имеет склонность к быстрому развитию. В зависимости от типа клеща-переносчика, а также от вида животного и его иммунной системы, инкубационный период может варьироваться от 8 до 15 дней. После этого наблюдаются следующие признаки:
- Значительное повышение температуры тела (до 40-41 градуса);
- Общее угнетенное состояние, вялость;
- Проблемы с аппетитом;
- Снижение удоев в 4-5 раз;
- Появление горьковатого привкуса в молоке;
- Изменение цвета молока на желтоватый или красноватый, что делает его непригодным для употребления;
- Наличие крови в моче;
- Диарея, чередующаяся с запорами.
Острая стадия заболевания обычно завершается примерно через неделю, после чего может развиваться хроническая форма. Симптомы в этом случае проявляются периодически и менее выражены.
Также могут возникать тяжелая анемия, интоксикация и аллергические реакции. Одним из закономерных последствий болезни являются почечная и печеночная недостаточность, которые часто приводят к летальному исходу. У КРС уровень смертности составляет около 40%, в то время как у коз и овец этот показатель значительно выше и может достигать 80%.
Диагностика
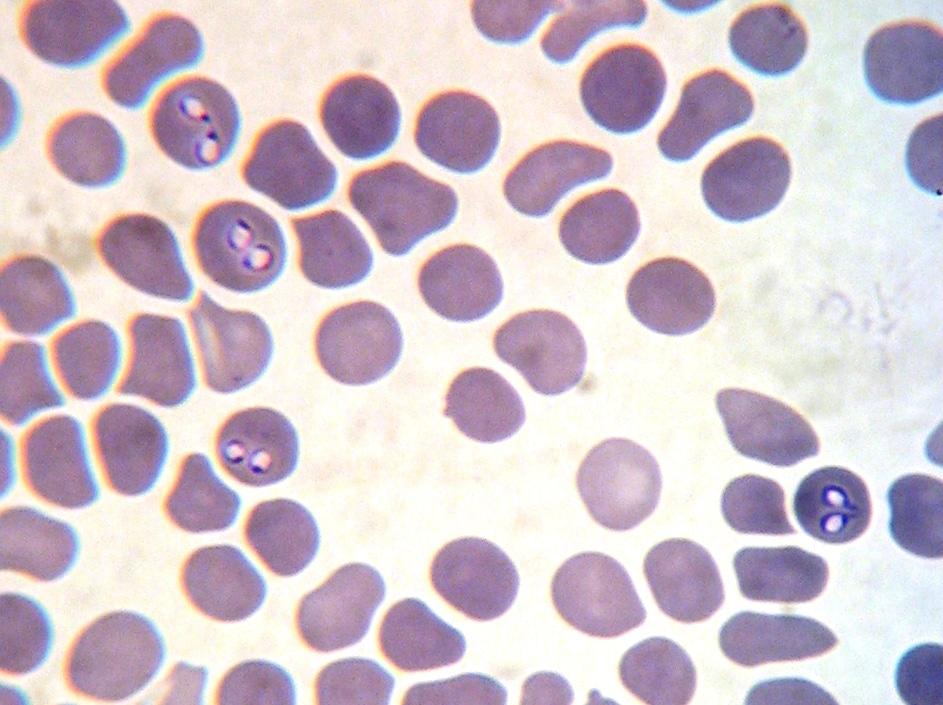
Диагностика осуществляется с помощью анализа крови, используя метод толстой капли. В этом процессе проба окрашивается, что позволяет выявить паразитов в эритроцитах. В некоторых случаях также применяются методы иммунофлуоресценции и иммуноферментного анализа. Если результаты этих исследований оказываются недостаточно информативными (например, при низком уровне паразитов), может быть использован биологический метод, хотя он часто оказывается экономически невыгодным.
Часто диагностика основывается на клинических проявлениях заболевания. Также принимается во внимание эпидемиологическая ситуация. Важным аспектом диагностики является тщательный сбор анамнеза.

Лечение
Бабезиоз у крупного рогатого скота, при своевременной диагностике, поддается эффективному лечению. Ключевую роль в процессе терапии играет правильный уход за животным. Его не следует выводить на пастбище, а кормить только качественными продуктами – свежим луговым сеном или травой. Также можно давать свежее молоко и корнеплоды.
Медикаментозная терапия включает подкожное введение 2%-ного раствора гемоспоридина. Дозировка составляет 0,0005 г на 1 кг массы тела животного. Кроме того, для лечения можно использовать азидин, который вводится в мышцу в дозе 0,0035 г на 1 кг массы тела. Препараты применяются от одного раза за два дня до одного раза в сутки. Обычно требуется 1-2 инъекции. Если выбрано лечение гемоспоридином, перед его введением необходимо дать животному кофеин для стабилизации сердечной деятельности.
Вопрос-ответ
Как происходит заражение бабезиозом?
Передаётся через укусы клещей почти всех родов семейства Ixodidae. Наиболее известны как передатчики клещи родов Dermacentor, Rhipicephalus, Hyalomma. Передача происходит через слюну во время питания клеща. Естественным резервуаром возбудителей в природе служат больные бабезиозом животные.
Какие симптомы у коровы после укуса клеща?
Слизистые анемичные, желтушного оттенка. Заметны следы мелких кровоизлияний. Наблюдается аритмия. Животные часто мочатся, моча темного цвета. При отсутствии лечения в большинстве случаев наступает летальный исход.
Что такое бабезиоз крупного рогатого скота?
Пироплазмоз (бабезиоз) крупного рогатого скота, или техасская лихорадка, или чихирь – трансмиссивная болезнь животных, вызываемая паразитами эритроцитов крови – пироплазмами (бабезиями). Жизненный цикл пироплазмы протекает в организмах двух хозяев – крупного рогатого скота и клещей-переносчиков.
Каковы симптомы пироплазмоза у коров?
Симптомы пироплазмоза у коров включают лихорадку, анемию, желтуху, слабость, потерю аппетита, учащенное дыхание и сердцебиение. Также могут наблюдаться изменения в цвете мочи (потемнение) и увеличение размеров селезенки и печени. В тяжелых случаях заболевание может привести к смерти животного.
Советы
СОВЕТ №1
Регулярно проводите осмотр животных на наличие симптомов бабезиоза, таких как лихорадка, анемия и желтуха. Раннее выявление заболевания поможет своевременно начать лечение и предотвратить распространение инфекции.
СОВЕТ №2
Обеспечьте своим животным качественное питание и условия содержания. Сильные и здоровые животные менее подвержены заболеваниям, поэтому важно следить за их рационом и общим состоянием.
СОВЕТ №3
Проводите профилактические мероприятия, такие как вакцинация и обработка от клещей, чтобы снизить риск заражения бабезиозом. Консультируйтесь с ветеринаром о необходимых прививках и обработках для вашего стада.
СОВЕТ №4
Ведите учет всех случаев заболевания в вашем хозяйстве. Это поможет вам выявить возможные вспышки и определить, какие меры необходимо предпринять для защиты остальных животных.

