Особенности
Лямблия – это паразитический микроорганизм, относящийся к простейшим. Он обитает в организме теплокровных млекопитающих. Наиболее часто этот паразит размножается в кишечнике, хотя в редких случаях может поражать и другие внутренние органы, такие как печень. Размеры лямблий крайне малы: на одном квадратном сантиметре слизистой кишечника может находиться до одного миллиона этих организмов. Лямблии, такие как Giardia и intestinalis, отличаются от большинства других известных простейших паразитов тем, что способны активно паразитировать в тонком кишечнике, удваивая свою численность каждые 20 минут.
Цикл жизни лямблии начинается с цисты, которая может долгое время существовать вне организма хозяина и выдерживать неблагоприятные условия окружающей среды, включая нагревание до 70 градусов. Циста сохраняет свою инфекционную способность на протяжении 8-9 недель.
Когда циста попадает в ротовую полость, она проглатывается и проникает в желудок, где не разрушается под действием желудочного сока. Затем она перемещается в двенадцатиперстную кишку, где начинается активная фаза ее жизненного цикла, и паразит начинает размножаться путем деления.
Из двенадцатиперстной кишки лямблии в большом количестве проникают в толстую кишку, где вновь принимают форму цист. В конечном итоге они покидают организм вместе с фекалиями, которые могут стать источником заражения для тех, кто с ними соприкасается.
В 30% случаев заражение может произойти при попадании в организм всего одной цисты.
Кишечная лямблия, или Giardia intestinalis, представляет собой одноклеточный паразит, который вызывает лямблиоз — инфекционное заболевание, поражающее кишечник человека. Врачи отмечают, что жизненный цикл этого микроорганизма включает две стадии: вегетативную и цистную. Вегетативные формы, или трофозоиты, обитают в тонком кишечнике, где активно размножаются и могут вызывать воспаление. Цисты, в свою очередь, являются устойчивой формой, способной выживать в неблагоприятных условиях и передаваться через загрязнённую воду или пищу. Врачи подчеркивают важность ранней диагностики и лечения, так как заболевание может протекать бессимптомно, но при этом приводить к серьезным осложнениям, таким как хроническая диарея и нарушения всасывания питательных веществ. Профилактика включает соблюдение гигиенических норм и контроль качества питьевой воды.

Пути заражения
Передача данной инвазии осуществляется исключительно фекально-оральным путем. Это означает, что для заражения человеку необходимо, чтобы в его ротовую полость попало достаточное количество яиц или личинок паразита. После выхода из личинок и в процессе своего развития лямблии проникают в организм, вызывая лямблиоз. Личинки могут попасть в организм различными способами:
- Вода – они способны долго сохранять свою жизнеспособность и инфекционность в воде, поэтому употребление неочищенной воды увеличивает риск заражения;
- Личинки могут долго оставаться жизнеспособными в почве, что делает возможным заражение при употреблении плохо промытых овощей и фруктов;
- Лямблии животных, которые могут оказаться на шерсти и затем перейти на руки человека, также представляют опасность для заражения;
- На различных поверхностях личинки сохраняют жизнеспособность длительное время, что позволяет заразиться через контакт с такими предметами, как полотенца, постельное белье и другие поверхности.
Иногда лямблии могут встречаться и в мясе. Поэтому недостаточная термообработка мяса также может привести к заражению. Однако при длительной варке, жарке или замораживании личинки погибают и теряют свою способность к заражению.
| Особенность | Описание | Значение для жизненного цикла |
|---|---|---|
| Морфология | Трофозоит: грушевидная форма, 8 жгутиков, 2 ядра. Циста: овальная, 4 ядра, толстая оболочка. | Трофозоит — активная, питающаяся форма, обитает в тонком кишечнике. Циста — устойчивая форма, обеспечивает выживание вне организма хозяина и передачу. |
| Место обитания | Тонкий кишечник (двенадцатиперстная кишка, верхние отделы тощей кишки). | Оптимальные условия для питания и размножения трофозоитов. |
| Способ питания | Осмотрофный (поглощение питательных веществ всей поверхностью тела). | Позволяет эффективно использовать питательные вещества из кишечника хозяина. |
| Размножение | Бинарное деление (бесполое). | Быстрое увеличение численности паразита в кишечнике. |
| Инвазионная стадия | Циста. | Устойчивость к внешним факторам, обеспечивает заражение нового хозяина через загрязненную воду, пищу или контакт. |
| Путь передачи | Фекально-оральный. | Основной механизм распространения лямблиоза. |
| Стадии жизненного цикла | 1. Заглатывание цист. 2. Эксцистирование в тонком кишечнике (выход трофозоитов). 3. Размножение трофозоитов. 4. Инцистирование в толстом кишечнике (образование цист). 5. Выделение цист с фекалиями. | Последовательность событий, обеспечивающая выживание и распространение паразита. |
| Патогенность | Прикрепление к слизистой оболочке кишечника, нарушение всасывания питательных веществ, воспаление. | Приводит к клиническим проявлениям лямблиоза (диарея, боли в животе, метеоризм, потеря веса). |
| Устойчивость цист | Высокая устойчивость к хлорированию, низким температурам. | Затрудняет обеззараживание воды и продуктов питания, способствует распространению. |
Лечение
Кишечная лямблия успешно лечится с помощью нескольких медикаментов:
- Трихопол – это проверенное временем средство, эффективное против лямблий. Основной компонент – метронидазол. Дозировка для детей составляет 375 мг дважды в день, для взрослых и подростков старше 12 лет – 500 мг дважды в сутки. Препарат противопоказан при заболеваниях крови и центральной нервной системы, иногда может быть назначен беременным. Важно избегать алкоголя во время лечения. Возможные побочные эффекты включают тошноту, рвоту, запор и диарею;
- Тинидазол назначается детям в дозировке 50-75 мг на 1 кг массы тела в зависимости от возраста. Для взрослых максимальная доза составляет 4 капсулы в день. Препарат не рекомендуется детям младше 12 лет и при заболеваниях крови. Среди побочных эффектов могут быть тошнота, рвота, диарея, головная боль и судороги;
- Орнидазол – активный компонент этого препарата. Он назначается взрослым и подросткам весом от 35 кг по 3 капсулы, а детям до 35 кг – в дозировке от 30 до 40 мг на 1 кг веса. Возможные побочные эффекты: тошнота, иногда рвота, диарея, запор, головокружение и головные боли. Препарат не рекомендуется во время лактации и беременности;
- Макмирор – современное и эффективное средство. В его составе находятся нитрофураны и антимикотические компоненты. Препарат выводится из организма с мочой и не оказывает негативного влияния на печень. Взрослым следует принимать его в течение 14 дней по 2 капсулы трижды в день. Для детей дозировка рассчитывается врачом индивидуально. Возможные побочные эффекты: иногда рвота, тошнота, жажда и аллергические реакции. Не назначается кормящим матерям и беременным женщинам.
В некоторых случаях лечение кишечной лямблии требует применения нескольких препаратов, что приводит к необходимости разработки схемы комбинированной терапии. Обычно курсы чередуются: сначала назначается один препарат, а через неделю – другой. После завершения курса могут быть рекомендованы витамины, средства для нормализации пищеварения и восстановления кишечной микрофлоры.
Такой подход к лечению обеспечивает стабильный результат и помогает предотвратить оставление личинок в кишечнике.
Кишечная лямблия, или Giardia intestinalis, является одним из самых распространенных паразитов, вызывающих кишечные инфекции у человека. Многие люди отмечают, что заражение этим микроорганизмом может привести к различным gastrointestinalным расстройствам, включая диарею, боли в животе и вздутие. Особенностью лямблий является их жизненный цикл, который включает как вегетативные формы, так и цисты, способные выживать в неблагоприятных условиях. Цисты выделяются с фекалиями и могут передаваться через загрязненную воду или пищу. Интересно, что лямблии могут адаптироваться к различным условиям, что делает их трудными для уничтожения. Многие люди, столкнувшиеся с этой проблемой, подчеркивают важность соблюдения гигиенических норм и регулярного медицинского обследования для предотвращения заражения.

Вопрос-ответ

Какой цикл развития у лямблий?
Лямблии имеют две стадии развития – цистную и вегетативную. Цисты попадают в желудочно-кишечный тракт с выпитой водой. От 10 до 100 цист достаточно для заражения человека. При этом больной лямблиозом выделяет до 900 миллионов цист в сутки.
Каков жизненный цикл кишечных лямблий?
У G. Lamblia есть две стадии жизни: подвижная репликативная стадия трофозоита, на которой паразит выживает в тонком кишечнике хозяина, и нерепликативная стадия цисты, на которой паразит выживает в окружающей среде.
Лямблии особенности строения?
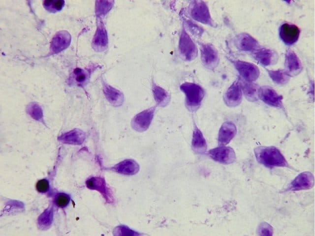
Строение и биология. Само тело имеет грушевидную форму: передний конец расширен и закруглён, задний — сужен и заострён. Для этого рода характерен сложно устроенный прикрепительный диск, а также полное отсутствие цитостома. Размеры тела от 10 до 18 мкм. Способны образовывать цисты.
Что такое кишечные лямблии?
Кишечная лямблия (лат. Giardia lamblia, Giardia intestinalis) — вид паразитических экскават из рода лямблий (Giardia) отряда дипломонад (Diplomonadida), возбудитель лямблиоза (гиардиоза) человека. Являясь паразитом человека, кишечная лямблия также является одним из самых распространённых паразитов кошек, собак и птиц.
Советы
СОВЕТ №1
Регулярно проходите медицинские обследования, особенно если вы находитесь в группе риска. Лямблии могут вызывать различные симптомы, и ранняя диагностика поможет избежать серьезных последствий для здоровья.
СОВЕТ №2
Соблюдайте правила личной гигиены, особенно после посещения общественных мест и перед приемом пищи. Тщательное мытье рук поможет снизить риск заражения лямблиями и другими паразитами.
СОВЕТ №3
Избегайте употребления некипяченой воды и сырых продуктов в местах с низким уровнем санитарии. Это особенно важно при путешествиях в страны с недостаточно развитыми системами водоснабжения и санитарии.
СОВЕТ №4
Если вы заметили симптомы, такие как диарея, боли в животе или усталость, не откладывайте визит к врачу. Чем раньше вы начнете лечение, тем быстрее сможете восстановить здоровье.

