Исходя из статистических данных, примерно 20% несчастных случаев приходится на локти человека. При переломе локтевого сустава нарушается подвижность руки и возможность выполнять ею какие-либо действия. Этот сустав образует соединение трех важных костей руки: плечевая, локтевая и лучевая кость. Они соединены между собой совокупностью мышц и связок. Также в локтевом суставе находится множество нервов и связок.
Перелом локтя — очень сложное повреждение, способное привести к длительному курсу лечения с последующей реабилитацией. В случае такой травмы, очень важно оказать своевременную помощь пострадавшему и доставить его в стационар. Последствием травмы локтевого сустава, лечение которого необходимо проводить только под тщательным наблюдением врачей, может быть в дальнейшем ограниченная подвижность руки.
Причины
В связи с тем, что вокруг локтевого сустава нет плотного мышечного каркаса, способного надежно защитить данную область, он нередко подвергается воздействию внешних факторов. Чаще всего подобные травмы можно наблюдать у детей. Перелом локтевого сустава у ребенка возникает по причине чрезмерной активности, ведь малыши во время игр не уделяют должного внимания собственной безопасности.
Не только дети, но и взрослые нередко сталкиваются с подобными травмами, и могут сломать руку в области локтя. Чаще всего к такому повреждению приводят такие причины:
- падение на локоть;
- падение на вытянутую руку;
- сильный удар по этой области;
- во время занятий спортом, с активными действиями руками.
Нередко такой перелом можно встретить у людей с остеопорозом. При таком заболевании перелом можно получить даже от незначительного удара.
Классификация
В зависимости от ситуации, которая привела к травматизму, переломы делятся на разные типы и виды, встречающиеся как отдельно, так и в совокупности.
Различают такие основные виды:
- Закрытый перелом — самое распространенное повреждение. В таком случае нарушается целостность костей, но кожный покров, мышцы и кровеносные сосуды не повреждаются. Обычно к закрытому виду относится перелом локтевой кости без смещения. Травмируются чаще лучевая кость, ее шейка и головка. Причиной может стать сильная нагрузка при упоре прямой конечностью.
- Открытый перелом — при таком повреждении отломки кости прорывают острыми краями мягкие ткани этой области. Этот вид травмы характеризуется повреждениями мышц, кровеносных сосудов и нервных окончаний. Большую угрозу в этом случае несет обильная кровопотеря из места повреждения.
- Оскольчатый вид — имеет схожие черты с закрытым переломом, но характеризуется хрустом костных отломков при прощупывании. Чтобы точно определить клиническую картину такой травмы, необходим рентгеновский снимок. Оскольчатый перелом может быть с отломками или сколами. Если в отделившейся части кости имеется костный канал, то его можно называть отломком, в ином случае это скол.
- Перелом локтевой кости со смещением — в случае такой травы части кости смещаются с правильного расположения. Тогда одна часть кости может заходить на другую, либо же можно наблюдать, как часть кости выпирает из локтевого сустава в неестественном положении.
- Трещина в локтевом суставе — самая легкая форма подобных травм. Срастается она намного быстрее, нежели при других видах этого перелома, не вызывает дальнейших осложнений. Трещиной называется незначительное нарушение структуры кости.
- Внутрисуставный перелом локтевого сустава — травма грозит таким осложнением, как демартроз (вытекание крови в суставную капсулу). Устраняется только при помощи хирургического вмешательства.
- Компрессионный перелом — происходит во время сильного механического давления на руку.
Также существует еще метафизарный (околосуставный) перелом руки в локте. Его диагностируют при переломе возле самого сустава. В редких случаях можно встретиться с повреждением венечного отростка, причиной которого является сильный удар по костной ткани. Такому повреждению может сопутствовать вывих предплечья. Иногда при таком повреждении происходит сдавливание кубитального нерва, что приводит к нарушениям в работе нервных импульсов.
Симптомы
В зависимости от локализации повреждения, симптомы перелома локтя будут иметь отличия. Определить их не составит никакого труда даже человеку без медицинского образования. Такой перелом руки характеризуется сильными болевыми ощущениями, чаще в задней части локтя. Также боль может задевать зону предплечья и даже самого плеча. Еще в области локтя можно наблюдать такие признаки, как отечность и кровоподтеки.
Такая травма значительно блокирует подвижность руки, в особенности возможность разгибания. Дело в том, что плечевая мышца присоединена до локтевого отростка и используется для разгибания. Если же эта травма имеет смещение костных отломков, то можно услышать крепитацию (звук хруста костных частей). Также наблюдается внешняя деформация формы руки.
Когда сломана шейка и головка лучевой кости, этому сопутствует сильная боль в передней части локтя. В некоторых случаях боль может отдавать в плечо. При переломах такого вида, отечность будет небольшой со слабо выраженными кровоподтеками. Если этот вид перелома кости руки сопровождается смещением, то боль так же будет слабо проявляться, так как кость не сильно подвергается деформации. Тогда и крепитацию можно также не услышать. Определить точно этот вид травмы можно исходя из того, что пострадавший не может вращать конечностью.
Первая помощь
Если в случае чрезвычайного происшествия у пострадавшего есть подозрение на перелом локтевой кости, важно срочно оказать ему первую помощь. Самым необходимым является иммобилизация поврежденной конечности. Для этого можно использовать шину из подручных материалов (доски, фанера).
Если нет навыков правильного наложения шины при разных типах повреждений, лучше не делать это самостоятельно.
Тогда рука подвязывается косыночной повязкой, которую можно сделать из любой подручной ткани.
После обездвиживания конечности необходимо доставить пострадавшего на территорию стационара, для дальнейшего лечения квалификационными специалистами. Если нет возможности это сделать самостоятельно, нужно вызвать бригаду скорой помощи. Так как перелому сопутствуют сильные болевые ощущения, пациенту можно дать болеутоляющий препарат. В большинстве аптечек можно найти для этого: Анальгин, Пенталгин и пр. По прибытию медиков, важно описать все детали происшествия. Если есть непереносимость каких-либо препаратов у потерпевшего, это тоже нужно сразу сообщить врачу, чтобы он правильно подобрал препараты, которыми в дальнейшем нужно лечить перелом сломанной конечности.
Также до приезда скорой, пострадавший не должен активно двигаться, лучше всего оставаться в неизменном положении, чтобы не усугубить ситуацию возможным смещением частей кости или другими последствиями. Во многих случаях, именно своевременное оказание первой помощи, и госпитализация потерпевшего на территорию стационара, влияет на продолжительность дальнейшего курса восстановления.
Виды переломов локтевого сустава
Локтевой сустав отличается сложным строением и механизмом функционирования. Он включает в себя лучевую и локтевую кости, и кость предплечья, соединенные между собой связками. Движение сустава осуществляется лишь двумя позициями: приведением и отведением. При многочисленных повреждениях верхней конечности ребенка чаще всего встречаются:
- перелом локтевого отростка
- перелом венечного отростка локтевой кости
- перелом шейки и головки лучевой кости
Переломы классифицируются в зависимости от структуры костной ткани, от сложности травмы, от состояния кожных покровов, а также от типа травмы.
В зависимости от структуры костной ткани выделяют патологические и травматические переломы. Патологические травмы суставов возникают вследствие развития патологических процессов, возникающих в костях. В результате их развития костная ткань подвергается изменениям, то есть изменяется ее структура, пористость и целостность. Травматические переломы являются результатом механического повреждения суставов.
По сложности травмы костей переломы можно классифицировать, как переломы
- без смещения (обычные)
- со смещением отломков
- оскольчатые (раздробленные)
При сохранении кожного покрова переломы считаются закрытыми и носят название асептических, то есть неинфицированных. В этом случае поврежденные кости и их отломки остаются внутри конечности. При внешних повреждениях кожного покрова переломы считаются открытыми. Они характеризуются нарушениями целостности эпидермиса, которые имеют различные размеры.
Травмы локтевого сустава часто различаются и по типу разлома кости. В этом случае можно выделить продольные, косые, поперечные, винтообразные и многие другие виды переломов.
Симптомы и диагностика переломов локтевого сустава
При падении на вытянутую или согнутую руку, ребенок испытывает резкую острую боль в поврежденном суставе, которая распространяется на пальцы руки, запястье и предплечье. В большинстве случаев наблюдается ограничение мобильности сустава, который сопровождается нарастанием отечности и возникновением гематомы в области повреждения. Довольно часто наблюдается аномальная подвижность сустава, вследствие его повреждения. Если перелом открытый, то кроме видимого повреждения кожного покрова можно увидеть отломки зияющих костей, и нарастание кровотечения.
Диагностировать перелом можно амбулаторно, если знать несколько особенностей, указывающих на полученную травму. Для этого необходимо:
- тщательно, но осторожно пропальпировать поврежденную зону на наличие отломков
- попытаться согнуть руку, чтобы определить степень повреждения и наличие болевого синдрома
- при наличии этих симптомов, следует сделать рентгеновский снимок, подтверждающий травму
- при сложном внутрисуставном переломе рекомендуется сделать КТ
Первая помощь при переломах локтевого сустава
Грамотно оказанная первая помощь при переломе сустава является залогом правильного сращения костных отломков. Для этого необходимо провести ряд неотложных мероприятий:
- обездвижить поврежденный сустав с помощью доски, шины, и т.п. после чего зафиксировать его на шее при помощи шарфа, подвязки, платка
- успокоить ребенка, проводя отвлекающие маневры при помощи игрушек
- дать ребенку таблетку любого обезболивающего средства, соответствующего его возрасту
- вызвать «Скорую помощь» или самостоятельно доставить ребенка в ближайший травмпункт
- при наличии кровотечения необходимо наложить жгут выше (артериальная кровь) или ниже (венозная кровь) поврежденной области
Симптомы и признаки
Характерные признаки переломов локтя:
- Основная жалоба, которая возникает при переломе в локтевом суставе это боль. Концентрироваться она будет по задней поверхности локтя. Помимо этого возможно ее распространение на все анатомические части конечности,даже на пальцы рук. Прощупывание травмированного участка руки также будет сопровождаться острой болью;
- В случае смещения костей и их отломков будет слышен их хруст, а также невооруженным глазом будет видно их смещение, придавая суставу не типичную для него форму. Например, участок кожи, который находится на этом месте, может западать;
- О повреждении сосудов будет свидетельствовать наличие отека и гематомы. Это обусловлено наполнением кровью полости сустава;
- Ограниченность или полное отсутствие разгибательных движений руки;
- При повреждении нервных пучков может возникнуть онемение в некоторых участках конечности.
Необязательно наличие все этих симптомов сразу, чтобы удостовериться в наличии перелома локтевого сустава. Однако нужно помнить, что даже врач, без аппаратных методов диагностики, не всегда может точно определить ушиб это или перелом. Поэтому даже, если в результате травмы проявился хотя бы один из признаков, следует немедленно обратиться в травматологический пункт для обследования.
Разновидности
Так как локтевой сустав состоит из 6 анатомических единиц, помимо нервно-сосудистых пучков, разновидность возможных переломов довольно разнообразна.В основном выделяют:
- Перелом головки лучевой кости, именно он является самым распространенным. Происходит это потому, что у него отсутствует защита в виде мышц и он более подвержен травматизму;
- Перелом шейки лучевой кости;
- Чрезмыщелковый;
- Перелом венечного отростка локтевой кости (как правило, сочетает с собой вывих или другую травму предплечья).
В свою очередь они делятся на различные типы.
- В зависимости от места полученной травмы:
- внутрисуставные – характеризуются разрывом связок, нарушением целостности сустава, могут иметь место смещение костей и их отломков;
- околосуставные – протекают без смещения костей и их отломков.
- По количеству затронутых костей:
- множественные;
- одиночные.
- По характеру повреждения кожных покровов:
- закрытый;
- открытый.
Все эти факторы учитывают при оценке тяжести состояния человека. Особое внимание уделяют внутрисуставным переломам, так как они являются более неблагополучными при лечении и реабилитации.
Перелом локтя со смещением
В большинстве случаев перелом локтевого сустава со смещением возникает из-за непрямых травм. Например, в случае падения человека на руку в тот момент, когда напряжена трехглавая мышца. Смещение происходит благодаря именно этой мышце.
Так как в результате нарушения целостности кости, она тянет эту кость вверх. Отломок кости может повлечь за собой кучу неприятностей. Чтобы избежать всевозможных последствий дополнительного травматизма, незамедлительная иммобилизация переломов локтей играет ключевую роль.
Лечение
Выбор тактики лечения напрямую зависит не только вида перелома, но и от возраста пациента. Допустим, если это перелом лучевого отростка без смещения или со смещением, но минимальным (не больше 3 мм), то, скорее всего, лечение будет консервативным.
Наложение гипса происходит в положении руки под углом, ладонью вверх. Крайне важно в период лечения полностью избегать нагрузок на эту руку.
Операция проводится в том случае, если произошел перелом со смещением, внутрисуставной перелом, перелом мыщелка. Проводиться она поэтапно:
- Восстановление расположения отломков предшествующего травме;
- Их закрепление любыми хирургическими приспособлениями;
- Наложение швов.
В случае переломов локтя, когда кость раздроблена настолько, что не представляется возможным ее сопоставить, прибегают к вживлению трансплантата. Для этих целей используются костные ткани донора или непосредственно пациента. Также широко используется метод эндопротезирования.
Также для лечения переломов и не только используют бандаж. Он также может использоваться и в период реабилитации. Его основные качества это: надежная фиксация поврежденного сустава, а также снятие с него нагрузки.
На протяжении почти всего периода лечения назначают противовоспалительные нестероидные лекарственные препараты, обезболивающие, а также антибиотики. В случаях открытых переломов безотлагательно делают укол против столбняка.
Сколько носится гипс
Этот вопрос интересует многих с локтевыми переломами. В этом играет роль очень большое количество факторов:
- Возраст человека;
- Тяжесть повреждений;
- Сопутствующие заболевания;
- Своевременное обращение к специалистам;
- Правильно оказанная первая помощь;
- Приложенные усилия человека во время лечения и реабилитации.
При самом благоприятном течении лечения, у молодых пациентов при переломе без смещения, гипсовую повязку налаживают на срок в 3 недели. А уже через месяц или полтора человек возвращается к прежней жизни. Но если травма серьезная и имеет место смещение костей, то сроком наложения гипса в таком случае будет минимум 3 месяца.
Пожилым людям, а также имеющим сопутствующие заболевания, например, такие как сахарный диабет, гипс налаживают еще на более длительный срок, который может достигать 4-х и более месяцев. После того как снимут гипс, его заменяет фиксатор, который будет регулировать объем двигательной активности рукой еще на неделю.
Разработка локтевого сустава после перелома
Лечебная физкультура играет огромную роль в восстановительных процессах травмированного участка. Именно поэтому нужно практически в первые дни начинать действовать. На этом этапе приоритетом ЛФК будет убрать отек, улучшить кровообращение, уменьшить боль. А вот уже на втором этапе основная цель это восстановление подвижности.
- Первый этап берет начало на следующий день после того как наложили гипс. Упражнения, выполняющиеся в данный период, предназначены для суставов свободных от гипса. В этих целях можно использовать круговые движения не большой интенсивности в лучезапястном и плечевом суставах. После первой недели приступают к разработке мышц локтя. Для этого напрягают мышцы под гипсом, при этом не производят никаких движений;
- Второй этап состоит из более серьезных упражнений, таких как сгибание и разгибание локтя. Для реализации этих движений часть гипсовой повязки на время снимают. Однако не при всех переломах возможна реализация такого метода. При переломе локтевого отростка можно спровоцировать повторный перелом.
Разработать руку после перелома довольно сложно, так как даже за небольшой период нахождения ее в гипсе, атрофируются мышцы. Поэтому активная гимнастика, массаж, физиотерапевтические сеансы, должны составлять неотъемлемую часть при восстановлении работоспособности руки.
Последствия
Любые нарушения в целостности структуры костной ткани или даже кожных покровов не проходит без следа. Самое безобидное, чем может закончиться перелом локтевого сустава это синяк. Но обычно все гораздо страшнее. Часто может развиваться стойкая контрактура, то есть в полном объеме не разгибается рука в локте или же не сгибается.
Чтобы этого избежать следует четко соблюдать назначенные врачом комплексы упражнений. Следует помнить, если при занятии ЛФК болит плечо и это не позволяет выполнять какие-то движения, нужно сказать об этом врачу. Очень часто с этим помогают справиться солевые ванночки, их применение помогает:
- Согреть и обезболить травмированный участок;
- Улучшить в нем обмен веществ;
- Снять оттек;
- Ускорить регенерацию костной и хрящевой ткани.
Очень страшным осложнением является не сращение или неправильное сращение кости. Это влечет за оперативное вмешательство, а бывает даже и не одно. Перелом руки очень опасен для здоровья и может закончиться даже инвалидностью.
Чтобы избежать последствий, нужно не только соблюдать назначенное лечение, но и помнить, что реабилитация включает в себя еще и правильное питание. Следует употреблять пищу с большим количеством коллагена. Содержится он в мясе, рыбе, морской капусте и т.д.
Самый главный способ избежать осложнений — это конечно избегать переломов. Для этого нужно быть внимательнее и соблюдать правила безопасности на работе и в быту.
Причины перелома локтя
Перелом руки можно получить при падении или после прямого удара, полученного, к примеру, в результате автомобильного столкновения. Поскольку в месте сгиба нет достаточно прочных мышц, которые постоянно поддерживали бы кость в правильном положении, локтевой отросток сустава часто бывает чрезвычайно уязвим. Дополнительным фактором риска является слабость сухожилий и связок. Особенно часто травмируется локтевой сустав у детей, кости и связки которых ещё недостаточно прочны.
Симптоматика
При переломе сустава отмечаются следующие симптомы:
- Резкая боль в зоне травмы, иногда распространяющаяся на предплечье или даже кисть руки;
- Ограничение подвижности в суставе или несвойственная нормальному функционированию амплитуда движений;
- Отёк в месте повреждения;
- Наличие гематом (синяков) и кровоподтёков;
- При смещении возможно травмирование близлежащих нервов, мышцы и связок;
- Онемение конечности и снижение чувствительности;
- Возможно также присутствие хруста при движении.
По своему характеру переломы бывают:
- Открытыми;
- Закрытыми;
- Внутрисуставными – без смещения костных отростков или со смещением.
Терапия
При чётко выраженных признаках перелома необходимо провести срочную иммобилизацию повреждённой конечности. Руку следует зафиксировать в согнутом положении (под углом 90 градусов) близко к туловищу. Кисть следует поместить обращённой к телу, пальцы должны быть слегка согнуты. Фиксировать следует не только локтевой сустав, но также плечевой и лучезапястный.
Необходимо немедленное обращение в клинику. Для диагностики переломов применяется рентгенологическое исследование. В сложных случаях для подтверждения первоначального диагноза может потребоваться компьютерная томография.
Лечение, которое назначает врач, напрямую зависит от характера полученной травмы и степени повреждения тканей. В некоторых клинических случаях перед наложением гипса врач проводит процедуру, которая на медицинском языке именуются “ручной репозицией”. Процедура представляет собой мануальное вправление суставов, сместившихся относительно главной локтевой кости. Ручную репозицию производят лишь в случаях незначительно смещения (не более 5 мм).
Если повреждение серьёзное и смещение костной ткани сильное, проводится хирургическое вмешательство. В ходе операции кости устанавливают в нужное положение, скрепляют спицами, винтами, костными штифтами или иными хирургическими приспособлениями. В некоторых случаях, когда при ударе головка кости становится раздробленной, врачи производят её удаление и заменяют эндопротезом. При необходимости сшиваются также разорванные мышцы, нервы, сосуды и лоскуты кожи.
После оперативного лечения (если оно имело место) на пострадавшую конечность с соблюдением всех медицинских правил накладывается гипс, который следует носить 4-6 недель с учётом характера травмы и степени её тяжести.
Второй этап терапии заключается в выполнении специальных упражнений, направленных на предупреждение развития контрактур. Уже на следующие сутки после травмы следует начинать выполнять рекомендованные врачом движения рукой (естественно, не сгибая её в повреждённом суставе). Для профилактики отёчности следует также, приняв положение лёжа, периодически поднимать травмированную руку над головой.
Восстановление после травмы
После снятия гипса обязательно нужно пройти курс реабилитации, направленный на разработку подвижности сустава, возвращение чувствительности руки и восстановление мышечной силы.
Для этой цели применяется комплексная терапия, включающая в себя:
- Различные виды аппаратного и ручного массажа;
- Физиолечение (грязелечение, бальнеотерапия), в том числе аппаратное (УВЧ, электрофорез);
- Лечебную физкультуру;
- Занятия на специальных тренажёрах;
- Упражнения с аппликаторами.
У детей разработка локтевого сустава после перелома может начаться ещё до снятия гипса. Начинать реабилитацию следует с медленных и щадящих сгибательных движений, при которых плечо располагается на ровной поверхности, а предплечье ставится вертикально.
Ещё одно упражнение для первого этапа – перекатывание шаров в пальцах повреждённой руки. Практикуется также сгибание и разгибание сцепленных в замок рук. Хорошо, если у вас есть возможность провести восстановительный курс в специальном лечебном учреждении для реабилитации пациентов с травмами органов движения. В таких клиниках занятия проводят опытные инструкторы, которые разработают для вас индивидуальную программу занятий. Неплохо также провести часть восстановительной терапии в бассейне.
После перелома в течение всего восстановительного периода и некоторое время после него пациентам нельзя:
- Переносить тяжести;
- Заниматься активными видами спорта (единоборствами, тяжёлой атлетикой, командными играми);
- Висеть на перекладине;
- Делать активный массаж конечности в локтевой области.
Пренебрежение этими простыми рекомендациями грозит развитием артроза в локтевом суставе, а также дегенеративными изменениями в хрящевой и костной тканях.
Профилактика
К профилактическим мерам против переломов суставов можно отнести физическое укрепление связок и мышц сустава: это позволит конечности постоянно находиться в тонусе и снизит риск травмы при падении или ударе.
Классификация
Классификация переломов локтевого сустава проводится как по общим параметрам, так и по признакам, характерным для повреждения внутрисуставных элементов.
По контакту с внешней средой:
- Первично открытые;
- Вторично открытые;
- Закрытые.
Для первично открытых переломов характерно повреждение мягких тканей внешним травмирующим агентом. При вторично открытых травмах ткани повреждаются отломками кости. Закрытые переломы контакта с внешней средой не имеют.
По наличию осколков:
- Однооскольчатые;
- Многооскольчатые;
- Безоскольчатые.
При однооскольчатых переломах на месте травмы присутствует 1 отломок кости. Для многооскольчатых травм характерно присутствие множества мелких костных элементов.
К многооскольчатым переломам можно отнести и их размозженную разновидность, когда четкая линия перелома отсутствует. На рентгенологическом снимке можно различить огромное количество мельчайших элементов кости.
Наиболее полной и удачной считается классификация, разработанная швейцарским хирургом Кохером в 1886 году:
Группа А. Переломы нижнего окончания плечевой кости:
- Надмыщелковый;
- Надмыщелковый с продольным переломом;
- Наружного мыщелка;
- Наружного надмыщелка;
- Внутреннего надмыщелка;
- Чрезмыщелковый.
- Головки мыщелка плеча.
Группа Б. Переломы верхнего окончания предплечья:
- Венечного отростка;
- Локтевого отростка;
- Головки лучевой кости;
- Шейки лучевой кости.
Перелом локтевой кости со смещением
Смещение костных отломков наиболее часто происходит при переломах локтевого отростка. Значительное смещение проксимального отдела кости сопровождается повреждением сухожилия трехглавой мышцы и вывихом головки лучевой кости – повреждение Мальгеня. При сохранении целостности сухожилия отломки смещаются незначительно, что порой позволяет обойтись без их оперативного сопоставления.
Переломы локтя со смещением приводят к полной утрате функции конечности, она свободно свисает вдоль тела. Попытки сгибания руки при этом провоцируют резкую вспышку боли. Пассивное сгибание сохраняется, однако также сопровождается болевыми ощущениями.
Симптомы перелома локтя
Внутрисуставные переломы локтя приводят к появлению следующей симптоматики:
- Резкая боль в момент получения травмы;
- Резкая боль при попытке прощупать локтевой сустав;
- Гематома и отечность в области сустава;
- Видимое выступание отломков кости под поверхностью кожи;
- Полная или частичная потеря функции конечности;
- Гемартроз (скопление крови в полости сустава);
- Патологическая подвижность и возможность нехарактерных для локтя движений.
При сохранении анатомического положения отломков и отсутствии смещения, функция конечности может быть частично сохранена. При этом любые сгибательные или разгибательные движения в локтевом суставе крайне болезненны.
Положение поврежденной руки чаще вынужденное. В некоторых случаях при пальпации можно прощупать линию перелома.
При повреждении или ущемлении нервных стволов возможно появление неврологической симптоматики. Пациент жалуется на онемение или покалывание в зоне поражения. На отдельных участках конечности могут возникать парестезии или отсутствовать чувствительность.
Первая помощь при переломе локтевой кости
Первая помощь при переломе локтя заключается в полном обездвиживании поврежденной руки. При отсутствии специализированной медицинской шины последняя может изготавливаться из подручных материалов: дощечек, удилищ, гибких металлических прутьев.
При наложении шины конечность следует аккуратно согнуть под углом в 90˚, ладонь повернуть по направлению к лицу пострадавшего. Если попытка придать руке необходимое положение сопровождается резким усилением боли, от сгибания следует отказаться и зафиксировать руку в том положении, которое она приняла после получения травмы.
Перед наложением на тело шину обматывают бинтами, мягкой тканью, марлей. Использовать незащищенные металлические или деревянные элементы нежелательно, так как они могут нанести дополнительные повреждения. Шину накладывают таким образом, чтобы она обездвиживала не только локтевой, но и лучезапястный и плечевой суставы.
При отсутствии материалов для изготовления шины руку можно подвесить в свободном положении на повязке типа «косынка». При этом пострадавший должен поддерживать конечность здоровой рукой, чтобы избежать излишней подвижности.
Снять болевой синдром можно при помощи нестероидных противовоспалительных средств (любое обезболивающее из домашней аптечки). Лекарства следует давать только через рот. Самостоятельное проведение инъекций в отсутствие медицинских работников запрещено. Также запрещено пытаться самостоятельно сопоставить обломки кости.
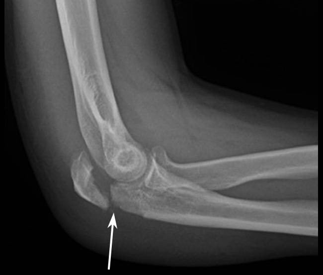
Диагностика
Диагностика переломов локтя производится на основании результатов осмотра пострадавшего. Однако для подтверждения диагноза в обязательном порядке применяется один из видов рентгенологического обследования:
- Рентгенограмма в 2-х проекциях;
- Компьютерная томография;
- Магнитно-резонансная томография
Как правило, для окончательной постановки диагноза бывает достаточно обыкновенной рентгенографии.
Дорогостоящие методы обследования применяются только при сложных переломах, когда врачу необходимо получить трехмерное изображение поврежденного участка и установить степень повреждения окололежащих мягких тканей.
Оперативное лечение и иммобилизация
Переломы локтя без смещения лечатся консервативно. При этом на конечность по задней стороне накладывается глубокая гипсовая лонгета, начинающаяся от верхней трети плеча и заканчивающаяся в районе лучезапястного сустава.
Аналогичным образом поступают при небольших смещениях, если репозиции удалось добиться путем разгибания сустава. Лонгета накладывается на срок до 4 недель. При этом временное снятие иммобилизирующей повязки для проведения ЛФК допускается уже в конце 2-й недели лечения. После занятий лонгету возвращают на место.
При пелелома лохтя со смещением необходима операция. Остеосинтез при многооскольчатых переломах и значительном смещении отломков проводят методом «стягивающей петли». При этом в отломках проделываются каналы, сквозь которые врач протягивает специальную проволоку.
Получившаяся петля имеет восьмиобразную форму. Проволока стягивается на наружной поверхности кости, прочно фиксируя отломки в необходимом положении.
Остеосинтез при помощи «стягивающей петли» хорош тем, что не требует длительной иммобилизации конечности.
Послеоперационный шов закрывают асептической повязкой, а руку подвешивают на «косынке». Активные движения в локтевом суставе допускаются уже на 3 день после вмешательства.
Полный объем движений восстанавливается в среднем через месяц. Удалить фиксирующие конструкции необходимо через 3-4 месяца, после полного срастания кости.
Медикаментозное лечение
При переломах локтевого сустава применяется следующая медикаментозная терапия:
- Обезболивающие и противовоспалительные препараты
Применение обезболивающих средств особенно актуально в первые дни после травмы. Больным назначают такие препараты, как анальгин, кеторол, кеторолак, ибупруфен, баралгин. Они способствуют снижению интенсивности болевого синдрома, спаданию отека и уменьшению воспаления. При очень сильной боли могут использоваться наркотические анальгетики.
- Антибиотики
Антибактериальные средства показаны в 100% случаев открытых переломов и переломов, лечение которых потребовало операции. Закрытые переломы без смещения, лечение которых осуществляется консервативно, требуют назначения антибиотиков только при выраженном воспалении.
- Противостолбнячная сыворотка
При открытых переломах и загрязнении раны землей прививка от столбняка делается всем пострадавшим в обязательном порядке.
- Кровоостанавливающие
Открытые травмы, а также оперативное вмешательство требуют назначения пациенту гемостатических средств (аминокапроновая кислота, викасол, этамзилат). Это снижает риск послеоперационных осложнений, предотвращает повторное развитие гемартроза, препятствует увеличению гематомы на месте повреждения кости.
- Препараты кальция, поливитаминные комплексы, витамин «Д₃»
Все эти препараты позволяют ускорить заживление, повысить качество костного соединения, максимально быстро восстановить функцию конечности.
Физиотерапия при лечении
Физиотерапия при переломах локтевого сустава назначается в конце 2-й недели лечения. При этом на пораженный участок воздействуют низкочастотными и импульсными магнитными полями.
Магнитотерапия способствует ускорению регенерации хрящевой и костной ткани, улучшает микроциркуляцию крови, предотвращает тромбообразование, уменьшает отеки и снижает интенсивность воспалительного процесса.
Важно помнить, что слишком раннее назначение магнитотерапии повышает риск послеоперационного кровотечения или истечения крови в сустав из поврежденных в момент травмы сосудов. Помимо этого, физиолечение не применяют при наличии кардиостимулятора, злокачественных новообразований, острой сердечнососудистой патологии и беременности.
После снятия гипсовой повязки пациенту назначают озокеритовые аппликации, прогревания, электроферез с препаратами кальция, солевые ванны, грязелечение.
Реабилитация после перелома локтя
Грамотный подход к реабилитации после перелома локтевой кости имеет огромное значение. Своевременное и правильное применение методик лечебной физкультуры и массажа ускоряет заживление и сокращает восстановительный период.
ЛФК
Занятия ЛФК после перелома локтя следует начать как можно раньше. Обычно это становится возможным уже на 3-4 день после травмы. При наложенной гипсовой повязке следует по возможности шевелить пальцами, сжимать руку в кулак. Большего в имеющейся ситуации сделать невозможно.
В процессе оперативного остеосинтеза отломки кости скрепляются прочно. Это позволяет активно использовать больную руку. Для ускорения заживления перелома локтя необходимо с первых дней начинать разрабатывать руку с помощью следующих упражнений:
- Игра с мячом;
- Катание детской машинки по столу;
- Смыкание рук за спиной;
- Перекатывание шара в пальцах
- Подъем сомкнутых в замок за спиной рук вверх;
- Упражнения с гантелями весом не более 2 кг.
Интенсивность упражнений следует увеличивать постепенно. Слишком большая нагрузка, приложенная к суставу вскоре после травмы, может ухудшить состояние и привести к необходимости повторной операции.
Массаж
Массаж при переломах локтя проводится так же, как и при других видах перелома. Применяются такие приемы, как пощипывание, поглаживание, разминание, потряхивание, сгибание и разгибание, повороты предплечья.
Массаж проводят в сидячем положении, с предплечьем, расположенном на массажном валике. Специалист может работать самостоятельно или с помощником, который удерживает руку больного на весу при проведении ряда массажных приемов.
Возможные осложнения
Все осложнения, возникающие при переломе локтевого сустава, можно разделить на ранние и поздние.
Ранние осложнения переломов:
- Кровотечения из сломанной кости;
- Послеоперационные кровотечения;
- Кровотечения из сосудов, поврежденных отломком кости;
- Инфицирование раны при оперативном лечении и открытых переломах;
- Травматический шок;
- Болевой шок;
- Столбняк;
- Несостоятельность фиксирующих конструкций;
- Несостоятельность послеоперационных швов;
- Жировые эмболии;
- Тромбоэмболии, возникающие как следствие повышенного тромбообразования в области перелома;
- Вторичное смещение отломков под гипсовой повязкой.
Поздние осложнения переломов:
- Тугоподвижность сустава;
- Неправильное сращение суставных элементов;
- Отторжение протеза при эндопротезировании сустава;
- Отторжение импланта при замене части костной ткани;
- Боли в области травмированного сустава;
- Поздние неврологические признаки повреждения нервных стволов;
- Внутренние пролежни.
Перелом локтя у ребенка
В детском возрасте внутрисуставные переломы локтя встречаются наиболее часто. Это связано с высокой физической активностью ребенка, частыми падениями и ударами об окружающие предметы.
Кость часто ломается в зоне роста, так как ткань, расположенная там, отличается малой прочностью и эластичностью. Трудности возникают при диагностике переломов локтевого отростка у детей младше 15-16 лет. В этом возрасте происходит его срастание с костью.
Вследствие высоких регенерационных способностей организма у детей сокращаются сроки восстановления.
Короче оказывается как период иммобилизации конечности, так и общее время восстановления функции сустава. Осложнения возникают реже, чем у взрослых. В основном к ним относится вторичное смещение отломков по причине слишком ранних попыток двигать рукой.
Поэтому приоритетным способом лечения переломов у детей является оперативный остеосинтез, позволяющий активно работать травмированной конечностью уже через несколько дней после операции.

