Увеит глаз — воспалительное заболевание сосудистой оболочки, способное вызвать серьезные проблемы со зрением. Симптомы увеита могут возникнуть внезапно и требуют немедленного обращения к врачу. В статье рассмотрим, что такое увеит, его симптомы, причины и методы лечения. Эти знания помогут своевременно распознать проблему и сохранить здоровье глаз.
Что такое? Классификация заболевания
Увеит – это общее название для различных воспалительных процессов, затрагивающих сосудистую оболочку глаза, известную как увеальный тракт. Этот тракт включает в себя цилиарное тело, радужку и хориоидей, который представляет собой сосудистую оболочку. Увеит может возникать не только у людей, но и у домашних животных, таких как собаки и кошки.
Существует несколько типов увеитов, которые различаются по месту локализации воспалительного процесса:
- Передний увеит (иридоциклит). В этом случае воспаление затрагивает радужку и цилиарное тело. Это наиболее распространенная форма увеита.
- Периферический увеит. Воспаление охватывает цилиарное и стекловидное тела, хориоидей и сетчатку.
- Задний увеит (хориоретинит, хориоидит). В данном случае воспалительный процесс затрагивает хориоидей, сетчатку и зрительный нерв.
- Панувеит. Это воспаление, которое охватывает весь увеальный тракт.
Кроме того, увеиты могут классифицироваться по продолжительности: они бывают острыми и хроническими, если воспаление продолжается более 6 недель.
Врачи отмечают, что воспаление сосудистой оболочки глаз, или увеит, является серьезным заболеванием, требующим внимательного подхода к диагностике и лечению. Специалисты подчеркивают, что своевременное обращение к офтальмологу может предотвратить серьезные осложнения, такие как потеря зрения. Врачи выделяют несколько причин возникновения увеита, включая инфекционные заболевания, аутоиммунные расстройства и травмы. Лечение обычно включает использование противовоспалительных препаратов и, в некоторых случаях, иммунодепрессантов. Важно, чтобы пациенты следовали рекомендациям врачей и не игнорировали симптомы, такие как покраснение, боль или ухудшение зрения. Регулярные осмотры и контроль состояния глаз помогут сохранить зрение и улучшить качество жизни.
https://youtube.com/watch?v=JjmdzuYjJdM
Что приводит к воспалению сосудистой оболочки глаз
Наиболее распространенными причинами увеита являются инфекционные и системные воспалительные заболевания, а также грибковые и паразитарные инфекции. В некоторых случаях источник воспалительного процесса остается неясным, однако всегда можно заметить связь с экологическими факторами или психоэмоциональным состоянием пациента.
Например, ирит чаще всего развивается на фоне аутоиммунных заболеваний и может продолжаться до 6-8 месяцев, даже при наличии лечения. Ретинит, в свою очередь, возникает в результате вирусных инфекций, таких как герпес или опоясывающий лишай, а также бактериальных инфекций, включая токсоплазмоз и сифилис. Хориоидит может быть связан с такими заболеваниями, как туберкулез, ревматоидный артрит и красная волчанка.
| Тип воспаления | Причины | Симптомы |
|---|---|---|
| Ирит (воспаление радужки) | Аутоиммунные заболевания (анкилозирующий спондилит, ревматоидный артрит), инфекции (герпес, сифилис, туберкулез), травмы, идиопатический | Боль в глазу, светобоязнь, покраснение глаза (особенно вокруг роговицы), снижение зрения, изменение цвета радужки, сужение зрачка |
| Циклит (воспаление цилиарного тела) | Аутоиммунные заболевания, инфекции, травмы, идиопатический | Боль в глазу, светобоязнь, покраснение глаза, снижение зрения, плавающие помутнения перед глазами, изменение формы зрачка |
| Хориоидит (воспаление хориоидеи) | Инфекции (токсоплазмоз, туберкулез, сифилис, ВИЧ), аутоиммунные заболевания, травмы, идиопатический | Снижение зрения, появление «слепых пятен» в поле зрения, искажение изображений, световые вспышки, плавающие помутнения |
| Увеит (общее название для воспаления сосудистой оболочки) | Аутоиммунные заболевания (болезнь Бехтерева, саркоидоз), инфекции (вирусы, бактерии, грибки, паразиты), травмы, системные заболевания (болезнь Крона, язвенный колит), идиопатический | Боль в глазу, покраснение, светобоязнь, снижение зрения, плавающие помутнения, слезотечение, головная боль |
| Передний увеит | Чаще всего ирит и циклит | См. симптомы ирита и циклита |
| Промежуточный увеит (парсит) | Аутоиммунные заболевания (рассеянный склероз), инфекции, идиопатический | Плавающие помутнения, снижение зрения, иногда легкая боль |
| Задний увеит | Чаще всего хориоидит | См. симптомы хориоидита |
| Панувеит | Сочетание всех типов увеита | Сочетание симптомов ирита, циклита и хориоидита, тяжелое снижение зрения |
Признаки опасного воспаления глаз
Симптоматика увеита варьируется в зависимости от его типа. Например, для переднего увеита характерны следующие проявления:
- Покраснение глаз.
- Болевые ощущения в глазах.
- Светобоязнь.
- Уменьшение остроты зрения.
- Постоянное слезотечение.
- Сужение зрачка.
- Повышение внутриглазного давления.
Периферический увеит проявляется симметричным поражением обоих глаз, появлением мушек и других плавающих пятен, а также нарушением рефракции. В то время как симптомы заднего увеита могут проявляться довольно поздно, так как это воспаление редко сопровождается болями и покраснением. Обычно он характеризуется постепенным ухудшением зрения, искажением изображения и появлением пелены перед глазами.
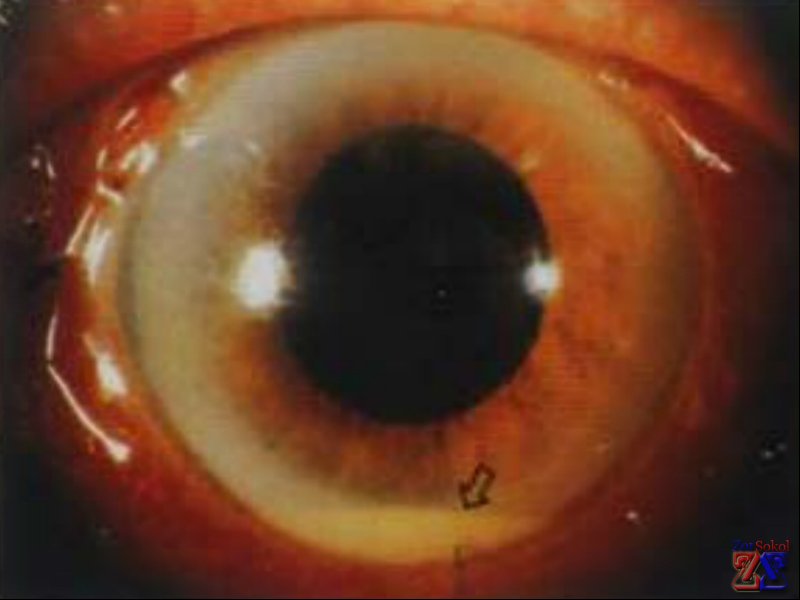
К другим симптомам увеита относятся нечеткость рисунка радужки и изменение ее цвета. Например, голубые глаза могут стать грязно-зелеными, а карие – приобрести ржавый оттенок. Кроме того, увеит может сопровождаться головными болями, которые сначала ощущаются в области глаза, а затем распространяются на половину головы. Эти боли часто описываются как острые, стреляющие и сверлящие, иногда отдавая в зубы или ухо.
Воспаление сосудистой оболочки глаз, или увеит, вызывает множество обсуждений среди пациентов и специалистов. Многие люди отмечают, что симптомы, такие как покраснение, боль и ухудшение зрения, могут значительно повлиять на качество жизни. Некоторые пациенты делятся своим опытом, рассказывая о том, как важно своевременно обратиться к врачу, чтобы избежать серьезных осложнений. В социальных сетях можно встретить советы по использованию противовоспалительных капель и других методов лечения. Однако, несмотря на доступность информации, многие все еще испытывают страх перед диагнозом и его последствиями. Важно помнить, что ранняя диагностика и адекватное лечение могут существенно улучшить прогноз. Обсуждения на форумах часто подчеркивают необходимость индивидуального подхода к каждому случаю, так как причины увеита могут быть очень разнообразными.
https://youtube.com/watch?v=QptyfVG0JN8
Традиционные методы лечения увеита
Если у вас появились симптомы воспаления глаз, которые могут указывать на увеит, важно незамедлительно обратиться к врачу, так как это заболевание может быстро прогрессировать и вызывать серьезные осложнения. Лечение будет зависеть от причины заболевания.
При переднем увеитe необходимо лечить основное заболевание и назначать антибактериальные и противовоспалительные препараты, такие как цитостатики, глюкокортикоиды и нестероидные противовоспалительные средства (НПВС). В зависимости от причины увеита может быть рекомендован Преднизолона ацетат – 1-2 капли 1% суспензии в пораженный глаз каждые 3-4 часа. С улучшением состояния интервал между закапываниями увеличивается.
Также может быть полезна лекарственная циклоплегия, которая предотвращает образование задних спаек радужки и способствует разрыву уже существующих. Для этого могут быть назначены следующие препараты:
- Гоматропин (раствор 2%) – по 2 капли в больной глаз дважды в день (при необходимости чаще);
- Скополамина гидробромид (раствор 0,25%) – по 2 капли трижды в день.
Использование Атропина не рекомендуется, особенно при выраженном воспалении. Когда воспаление уменьшается, может быть назначено введение рассасывающих препаратов с помощью электрофореза или фонофореза.
При заднем увеитe также требуется лечение основного заболевания и назначение антибактериальных и противовоспалительных средств. Если воспаление связано с закрытоугольной глаукомой или есть предрасположенность к ней, то применение лекарственной циклоплегии противопоказано.
Лечение увеитов инфекционного происхождения включает назначение противомикробных и противовирусных препаратов. В некоторых случаях может потребоваться витрэктомия – удаление стекловидного тела. Длительность заболевания варьируется: передний увеит может длиться несколько недель, тогда как задний – месяцы или даже годы. Увеиты склонны к рецидивам.
При лечении детей в возрасте от 0 до 3 лет следует проявлять осторожность с Гоматропином гидробромидом, так как он может вызвать резорбтивный холиноблокирующий эффект. Местное применение глюкокортикоидов может привести к повышению внутриглазного давления, а их длительное использование может вызвать такие осложнения, как катаракта, герпетический кератит, отслоение сетчатки, глаукому и помутнение стекловидного тела. Поэтому после лечения увеита может потребоваться дополнительная терапия для устранения этих заболеваний.
Помощь народных средств
Лечение увеитов с использованием народных средств должно служить дополнением к традиционным методам, а не заменять их. Перед началом терапии обязательно проконсультируйтесь с врачом. Вот несколько рецептов, которые могут помочь в лечении увеитов:
- Настой ромашки. Для приготовления настоя заварите 3 столовые ложки сырья в стакане кипятка на протяжении 1 часа. Процедите и используйте для промывания глаз. Аналогично можно применять настои календулы, шалфея или шиповника.
- Алоэ. Свежевыжатый сок алоэ разводим кипяченой водой в соотношении 1:10 и закапываем в глаза. Также можно промывать глаза настоем из сухих листьев алоэ.
- Алтей лекарственный. Залейте 3-4 столовые ложки молотого корня холодной кипяченой водой и настаивайте в течение 8 часов. Альтернативный способ: 2 столовые ложки цветков и листьев залейте стаканом кипятка и настаивайте полчаса. Используйте настой для промывания глаз.
При проведении промываний важно помнить, что раствор должен быть свежим. Каждый глаз следует обрабатывать отдельной ваткой. И самое главное – не откладывайте лечение, чтобы избежать возможных осложнений.
Счастливая история излечения от увеита (видео):
Мы будем рады вашим комментариям, если статья оказалась для вас полезной. Также делитесь своими методами выздоровления и полезными советами.
https://youtube.com/watch?v=ugr-sWZafZs
Профилактика воспаления сосудистой оболочки глаз
Профилактика воспаления сосудистой оболочки глаз включает в себя комплекс мероприятий, направленных на снижение риска развития данного заболевания и поддержание здоровья глаз. Важно понимать, что воспаление сосудистой оболочки, или увеит, может быть вызвано различными факторами, включая инфекционные заболевания, аутоиммунные процессы, травмы и аллергические реакции. Поэтому профилактика должна быть многосторонней и учитывать индивидуальные особенности пациента.
1. Регулярные осмотры у офтальмолога: Один из ключевых аспектов профилактики – это регулярные визиты к врачу. Офтальмолог может выявить ранние признаки воспаления и других заболеваний глаз, что позволит начать лечение на ранних стадиях. Особенно важно проходить обследование людям с хроническими заболеваниями, такими как диабет или ревматоидный артрит, которые могут повышать риск увеита.
2. Контроль хронических заболеваний: Люди, страдающие от хронических заболеваний, должны тщательно следить за своим состоянием и соблюдать рекомендации врачей. Например, контроль уровня сахара в крови у диабетиков или регулярное применение противовоспалительных препаратов у пациентов с аутоиммунными заболеваниями может значительно снизить риск воспалительных процессов в глазах.
3. Защита глаз от травм: Травмы глаз могут стать причиной воспаления сосудистой оболочки. Поэтому важно использовать защитные очки при выполнении работ, связанных с риском повреждения глаз, а также соблюдать осторожность в повседневной жизни, чтобы избежать ударов и падений.
4. Избежание инфекций: Поскольку некоторые инфекции могут привести к увеиту, важно соблюдать правила личной гигиены и избегать контакта с потенциальными источниками инфекций. Например, следует избегать использования чужих косметических средств для глаз, а также соблюдать осторожность при посещении общественных мест.
5. Здоровый образ жизни: Поддержание общего здоровья организма также играет важную роль в профилактике воспалительных заболеваний глаз. Правильное питание, регулярные физические нагрузки, отказ от курения и ограничение потребления алкоголя способствуют укреплению иммунной системы и снижению риска развития воспалительных процессов.
6. Устранение аллергических факторов: Если у пациента есть предрасположенность к аллергиям, важно выявить и устранить аллергены, которые могут вызывать воспаление. Это может включать в себя использование антигистаминов, а также избегание контакта с известными аллергенами, такими как пыльца, шерсть животных или определенные продукты питания.
7. Образование и осведомленность: Повышение осведомленности о симптомах и признаках воспаления сосудистой оболочки глаз также является важным аспектом профилактики. Знание таких симптомов, как покраснение, боль, ухудшение зрения или светобоязнь, поможет пациентам своевременно обратиться за медицинской помощью.
Таким образом, профилактика воспаления сосудистой оболочки глаз требует комплексного подхода и активного участия пациента в поддержании своего здоровья. Регулярные осмотры, контроль хронических заболеваний, защита глаз и здоровый образ жизни могут значительно снизить риск развития этого серьезного заболевания.
Вопрос-ответ
Что такое воспаление сосудистой оболочки глаза?
Если у вас внезапно возникли проблемы со зрением в ночное время или с различением цветов, возможно, у вас воспаление сосудистой оболочки глаза или хориоретинит. Сосудистая оболочка — это оболочка сетчатки, расположенная глубоко внутри глаза. Любое воспаление в ней повлияет на ваше зрение. У некоторых это может вызвать лишь слезотечение или покраснение глаз.
От чего может воспалиться слизистая глаза?
Аллергические реакции на медикаменты, цветочную пыльцу, переутомление глаз, постоянная работа за компьютером, травмы, попадание инородных предметов, раздражающее действие дыма, атмосферных поллютантов, химических реагентов.
Чем опасен увеит глаза?
Осложнения увеита. Увеит, особенно у детей, нередко вызывает стойкое снижение остроты зрения вплоть до слепоты. При поражении радужки или цилиарного тела возможно повышение внутриглазного давления и развитие вторичной глаукомы.
Советы
СОВЕТ №1
Регулярно проходите обследования у офтальмолога. Это поможет выявить воспалительные процессы на ранних стадиях и предотвратить серьезные осложнения.
СОВЕТ №2
Соблюдайте гигиену глаз. Избегайте касания глаз грязными руками и используйте только чистые полотенца и косметику для глаз, чтобы минимизировать риск инфекции.
СОВЕТ №3
Обратите внимание на свое питание. Включите в рацион продукты, богатые антиоксидантами, такие как фрукты и овощи, которые могут помочь поддерживать здоровье глаз и снизить риск воспалений.
СОВЕТ №4
Избегайте длительного воздействия на глаза яркого света и экрана компьютера. Используйте защитные очки и делайте регулярные перерывы, чтобы снизить нагрузку на зрение.




